Your shopping cart is empty!
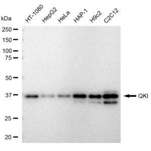
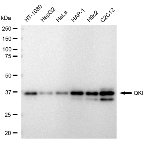
| Reactivity: | Human, Mouse, Rat |
| Applications: | WB, IF/IC, FCM, WB-KD |
| Isotype: | IgG |
| Clone: | 23GB4595 |
| Host Species: | Rabbit |
| Clonality: | Monoclonal |
| Synonyms: | QKI; QKI, KH Domain Containing RNA Binding; QK3; KH Domain-Containing RNA-Binding Protein QKI; HqkI; Hqk; Homolog Of Mouse Quaking QKI (KH Domain RNA Binding Protein); Quaking Homolog, KH Domain RNA Binding (Mouse); Quaking Homolog, KH Domain RNA Binding; QKI/LOC100132735 Fusion; RNA Binding Protein HQK; Protein Quaking; QK1; HKQ; QK |
| Immunogen: | A synthesized peptide derived from QK1 |
| Dilution: | WB 1:1,000-1:5,000; IF/IC 1:1,000; FCM 1:2,000 ; WB-KD 1:1,000-1:5,000 |
| Uniprot: | Q96PU8 |
| NCBI Gene ID: | 9444 |
| MW: | 38 kDa |
| Purification Source: | Cell culture |
| Purification Method: | Affinity Purified |
| Buffer: | Liquid in BSA, PH 7.4, 50% glycerol and less than 0.02% sodium azide. |
| Storage: | Store at -20°C. Avoid repeated freeze/thaw cycles. |
| Documents: | Please contact us to request the manual |