Your shopping cart is empty!
| Reactivity: | Human |
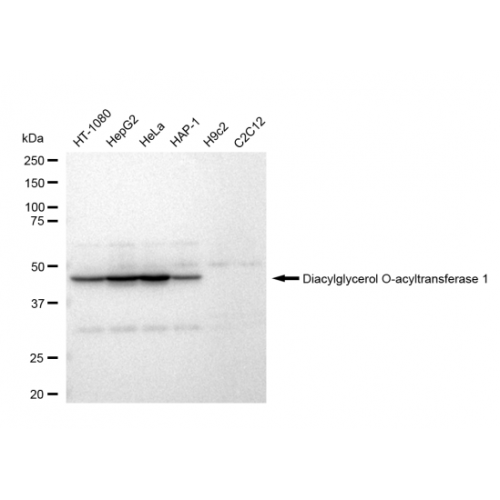
| Applications: | WB, IF/IC, FCM, WB-KD |
| Isotype: | IgG |
| Clone: | 23GB5155 |
| Host Species: | Rabbit |
| Clonality: | Monoclonal |
| Synonyms: | DGAT1; Diacylglycerol O-Acyltransferase 1; ARGP1; DGAT; Acyl-CoA Retinol O-Fatty-Acyltransferase; Diglyceride Acyltransferase; EC 2.3.1.20; ARAT; Acyl Coenzyme A:Cholesterol Acyltransferase Related Gene 1; Diacylglycerol O-Acyltransferase (Mouse) Homolog; Acyl-CoA:Diacylglycerol Acyltransferase; Retinol O-Fatty-Acyltransferase; ACAT Related Gene Product 1; ACAT-Related Gene Product 1; EC 2.3.1.76; EC 2.3.1; DIAR7; AGRP1 |
| Immunogen: | A synthesized peptide derived from human DGAT1 |
| Dilution: | WB 1:1,000-1:5,000; IF/IC 1:1,000; FCM 1:2,000 ; WB-KD 1:1,000-1:5,000 |
| Uniprot: | O75907 |
| NCBI Gene ID: | 8694 |
| MW: | 48 kDa |
| Purification Source: | Cell culture |
| Purification Method: | Affinity Purified |
| Buffer: | Liquid in BSA, PH 7.4, 50% glycerol and less than 0.02% sodium azide. |
| Storage: | Store at -20°C. Avoid repeated freeze/thaw cycles. |
| Documents: | Please contact us to request the manual |