Your shopping cart is empty!
| Reactivity: | Human |
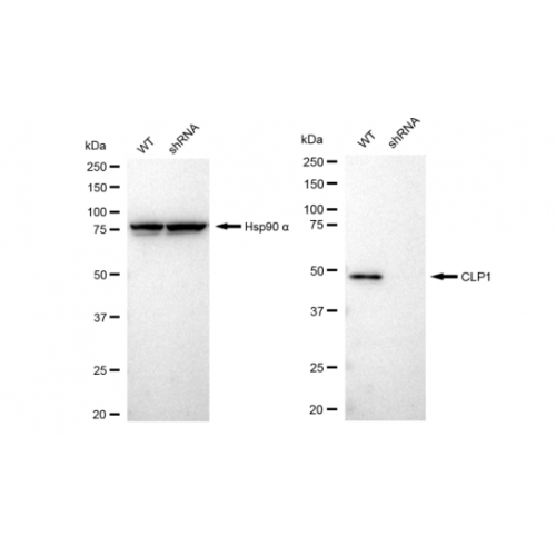
| Applications: | WB, IF/IC, FCM, WB-KD |
| Isotype: | IgG |
| Clone: | 23GB3085 |
| Host Species: | Rabbit |
| Clonality: | Monoclonal |
| Synonyms: | CLP1; Cleavage Factor Polyribonucleotide Kinase Subunit 1; HEAB; Cleavage And Polyadenylation Factor I Subunit 1; Polyribonucleotide 5'-Hydroxyl-Kinase Clp1; Pre-MRNA Cleavage Complex II Protein Clp1; Polyadenylation Factor Clp1; Polynucleotide Kinase Clp1; EC 2.7.1.78; HClp1; CLP1, Cleavage And Polyadenylation Factor I Subunit, Homolog (S. Cerevisiae); Polyribonucleotide 5'-Hydroxyl-Kinase; Homolog Of Yeast CFIA Subunit Clp1p; ATP/GTP-Binding Protein; ATP/GTPbinding Protein; HCLP1 |
| Immunogen: | A synthesized peptide derived from HEAB |
| Dilution: | WB 1:1,000-1:5,000; IF/IC 1:1,000; FCM 1:2,000 ; WB-KD 1:1,000-1:5,000 |
| Uniprot: | Q92989 |
| NCBI Gene ID: | 10978 |
| MW: | 48 kDa |
| Purification Source: | Cell culture |
| Purification Method: | Affinity Purified |
| Buffer: | Liquid in BSA, PH 7.4, 50% glycerol and less than 0.02% sodium azide. |
| Storage: | Store at -20°C. Avoid repeated freeze/thaw cycles. |
| Documents: | Please contact us to request the manual |