Your shopping cart is empty!
| Reactivity: | Human, Mouse, Rat |
| Applications: | WB, IF/IC, FCM, WB-KD |
| Isotype: | IgG |
| Clone: | 23GB4375 |
| Host Species: | Rabbit |
| Clonality: | Monoclonal |
| Synonyms: | CASP2; Caspase 2; ICH1; PPP1R57; NEDD2; Neural Precursor Cell Expressed Developmentally Down-Regulated Protein; Protein Phosphatase 1, Regulatory Subunit 57; Protease ICH-1; EC 3.4.22.55; Caspase-2; MGC2181; CASP-2; NEDD-2; Neural Precursor Cell Expressed, Developmentally Down-Regulated 2; Caspase 2, Apoptosis-Related Cysteine Peptidase; Caspase 2 Apoptosis-Related Cysteine Peptidase |
| Immunogen: | A synthesized peptide derived from human Caspase-2 |
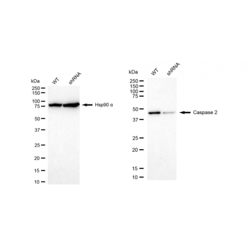
| Dilution: | WB 1:1,000-1:5,000; IF/IC 1:1,000; FCM 1:2,000 ; WB-KD 1:1,000-1:5,000 |
| Uniprot: | P42575 |
| NCBI Gene ID: | 835 |
| MW: | 48 kDa |
| Purification Source: | Cell culture |
| Purification Method: | Affinity Purified |
| Buffer: | Liquid in BSA, PH 7.4, 50% glycerol and less than 0.02% sodium azide. |
| Storage: | Store at -20°C. Avoid repeated freeze/thaw cycles. |
| Documents: | Please contact us to request the manual |