Your shopping cart is empty!
| Reactivity: | Human, Mouse, Rat |
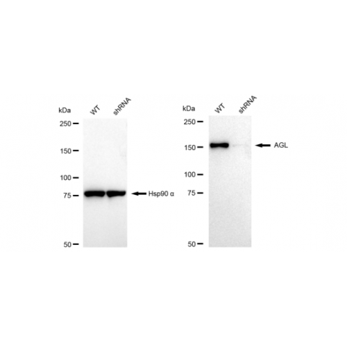
| Applications: | WB, IF/IC, FCM, WB-KD |
| Isotype: | IgG |
| Clone: | 23GB2965 |
| Host Species: | Rabbit |
| Clonality: | Monoclonal |
| Synonyms: | AGL; Amylo-Alpha-1, 6-Glucosidase, 4-Alpha-Glucanotransferase; GDE; Glycogen Debranching Enzyme; Amylo-1, 6-Glucosidase, 4-Alpha-Glucanotransferase; Glycogen Debrancher; Amylo-Alpha-1, 6-Glucosidase, 4-Alpha-Glucanotransferaseprovided; Glycogen Storage Disease Type III; Glycogen Debranching Protein |
| Immunogen: | A synthesized peptide derived from AGL |
| Dilution: | WB 1:1,000-1:5,000; IF/IC 1:1,000; FCM 1:2,000 ; WB-KD 1:1,000-1:5,000 |
| Uniprot: | P35573 |
| NCBI Gene ID: | 178 |
| MW: | 150 kDa |
| Purification Source: | Cell culture |
| Purification Method: | Affinity Purified |
| Buffer: | Liquid in BSA, PH 7.4, 50% glycerol and less than 0.02% sodium azide. |
| Storage: | Store at -20°C. Avoid repeated freeze/thaw cycles. |
| Documents: | Please contact us to request the manual |