KD-Validated TMEM173 Rabbit mAb (20 μl)

KD-Validated TMEM173 Rabbit mAb (20 μl)

Cat. #: 61113
Availability: In Stock
$149.00
-+
Reactivity:   Human    
Applications:   WB, FC, IC    
Host Species:   Rabbit    
Isotype:   IgG    
Clonality:   Monoclonal antibody    
Gene Name:   stimulator of interferon response cGAMP interactor 1
Gene Symbol:   STING1
Synonyms:   ERIS; MITA; MPYS; SAVI; NET23; STING; hMITA; hSTING; TMEM173; STING-beta
Gene ID:   340061
UniProt ID:   Q86WV6
Clone ID:   24GB5890
Immunogen:   A synthesized peptide derived from human TMEM173
Dilution:   WB 1:1,000-1:5,000; FC 1:2,000; IC 1:100-1:1,000
Purification Method:   Affinity purified
Concentration:   Lot dependent
Buffer:   PBS with 0.05% proclin300, 50% glycerol, pH7.3.
Storage:   Store at -20°C. Avoid freeze/thaw cycles.




Background

This gene encodes a five transmembrane protein that functions as a major regulator of the innate immune response to viral and bacterial infections. The encoded protein is a pattern recognition receptor that detects cytosolic nucleic acids and transmits signals that activate type I interferon responses. The encoded protein has also been shown to play a role in apoptotic signaling by associating with type II major histocompatibility complex. Mutations in this gene are the cause of infantile-onset STING-associated vasculopathy. Alternate splicing results in multiple transcript variants.




Images

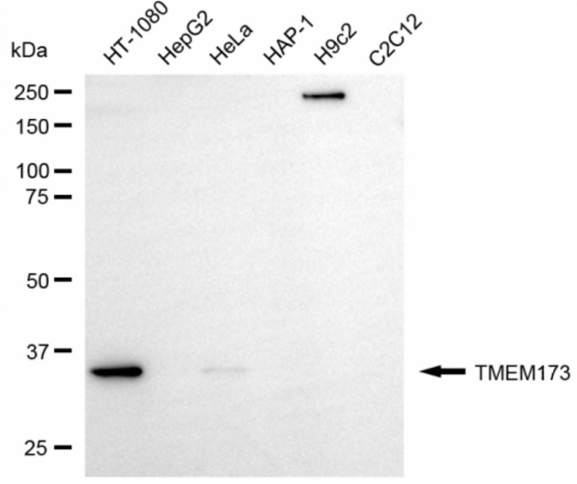
STING1 antibodyWestern blotting analysis using anti-TMEM173 antibody (Cat#61113). Total cell lysates (30 μg) from various cell lines were loaded and separated by SDS-PAGE. The blot was incubated with anti-TMEM173 antibody (Cat#61113, 1:5,000) and HRP-conjugated goat anti-rabbit secondary antibody (Cat#201, 1:20,000) respectively. Image was developed using NaQ™ ECL Substrate Kit (Cat#716).
Western blotting analysis using anti-TMEM173 antibody (Cat#61113). TMEM173 expression in wild type (WT) and STING1 shRNA knockdown (KD) HeLa cells with 20 μg of total cell lysates. Hsp90 α serves as a loading control. The blot was incubated with anti-TMEM173 antibody (Cat#61113, 1:5,000) and HRP-conjugated goat anti-rabbit secondary antibody (Cat#201, 1:20,000) respectively. Image was developed using Plus ECL Super Kit (Cat#636). STING1, Stimulator Of Interferon Response CGAMP Interactor 1.
Flow cytometric analysis of TMEM173 expression in HT-1080 cells using TMEM173 antibody (Cat#61113, 1:2,000). Green, isotype control; red, TMEM173.
Immunocytochemical staining of HT-1080 cells with TMEM173 antibody (Cat#61113, 1:1,000). Nuclei were stained blue with DAPI; TMEM173 was stained magenta with Alexa Fluor® 647. Images were taken using Leica stellaris 5. Protein abundance based on laser Intensity and smart gain: Medium. Scale bar: 20 μm.



You may also be interested in:


LIFESCT © 2025

Publications

text_heading

Our Location

405 East Gude Dr., Suite 205, Rockville, MD 20850, USA

+1-301-328-1977