| Reactivity: | Human |
| Applications: | WB, FC |
| Host Species: | Rabbit |
| Isotype: | IgG |
| Clonality: | Monoclonal antibody |
| Gene Name: | SMAD family member 1 |
| Gene Symbol: | SMAD1 |
| Synonyms: | BSP1; JV41; BSP-1; JV4-1; MADH1; MADR1 |
| Gene ID: | 4086 |
| UniProt ID: | Q15797 |
| Clone ID: | 24GB2100 |
| Immunogen: | A synthesized peptide derived from human Smad1 |
| Dilution: | WB 1:1,000-1:5,000; FC 1:2,000 |
| Purification Method: | Affinity purified |
| Concentration: | Lot dependent |
| Buffer: | PBS with 0.02% sodium azide, 50% glycerol, pH7.3. |
| Storage: | Store at -20°C. Avoid freeze/thaw cycles. |
Background
The protein encoded by this gene belongs to the SMAD, a family of proteins similar to the gene products of the Drosophila gene 'mothers against decapentaplegic' (Mad) and the C. elegans gene Sma. SMAD proteins are signal transducers and transcriptional modulators that mediate multiple signaling pathways. This protein mediates the signals of the bone morphogenetic proteins (BMPs), which are involved in a range of biological activities including cell growth, apoptosis, morphogenesis, development and immune responses. In response to BMP ligands, this protein can be phosphorylated and activated by the BMP receptor kinase. The phosphorylated form of this protein forms a complex with SMAD4, which is important for its function in the transcription regulation. This protein is a target for SMAD-specific E3 ubiquitin ligases, such as SMURF1 and SMURF2, and undergoes ubiquitination and proteasome-mediated degradation. Alternatively spliced transcript variants encoding the same protein have been observed.
Images
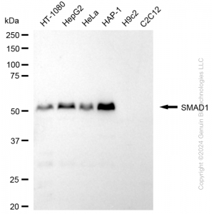
![]() | Western blotting analysis using anti-SMAD1 antibody (Cat#62629). Total cell lysates (30 μg) from various cell lines were loaded and separated by SDS-PAGE. The blot was incubated with anti-SMAD1 antibody (Cat#62629, 1:5,000) and HRP-conjugated goat anti-rabbit secondary antibody (Cat#201, 1:20,000) respectively. Image was developed using FeQ™ ECL Substrate Kit (Cat#226). |
![]() | Western blotting analysis using anti-SMAD1 antibody (Cat#62629). SMAD1 expression in wild type (WT) and SMAD1 shRNA knockdown (KD) HeLa cells with 20 μg of total cell lysates. Hsp90 α serves as a loading control. The blot was incubated with anti-SMAD1 antibody (Cat#62629, 1:5,000) and HRP-conjugated goat anti-rabbit secondary antibody (Cat#201, 1:20,000) respectively. Image was developed using NaQ™ ECL Substrate Kit (Cat#716). |
![]() | Flow cytometric analysis of SMAD1 expression in HAP-1 cells using anti-SMAD1 antibody (Cat#62629, 1:2,000). Green, isotype control; red, SMAD1. |
You may also be interested in: