| Reactivity: | Human, Mouse, Rat |
| Applications: | WB |
| Host Species: | Rabbit |
| Isotype: | IgG |
| Clonality: | Polyclonal antibody |
| Gene Name: | proliferating cell nuclear antigen |
| Gene Symbol: | PCNA |
| Synonyms: | ATLD2 |
| Gene ID: | 5111 |
| UniProt ID: | P12004 |
| Immunogen: | A synthesized peptide derived from human PCNA |
| Dilution: | WB 1:1,000-1:5,000 |
| Purification Method: | Affinity purified |
| Concentration: | Lot dependent |
| Buffer: | PBS with 0.01% thimerosal, 50% glycerol, pH7.3. |
| Storage: | Store at -20°C. Avoid freeze/thaw cycles. |
Background
The protein encoded by this gene is found in the nucleus and is a cofactor of DNA polymerase delta. The encoded protein acts as a homotrimer and helps increase the processivity of leading strand synthesis during DNA replication. In response to DNA damage, this protein is ubiquitinated and is involved in the RAD6-dependent DNA repair pathway. Two transcript variants encoding the same protein have been found for this gene. Pseudogenes of this gene have been described on chromosome 4 and on the X chromosome.
Images
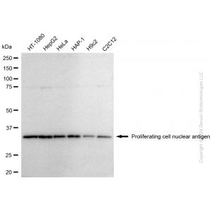
![]() | Western blotting analysis using anti-Proliferating cell nuclear antigen antibody (Cat#62826). Total cell lysates (30 μg) from various cell lines were loaded and separated by SDS-PAGE. The blot was incubated with anti-Proliferating cell nuclear antigen antibody (Cat#62826, 1:5,000) and HRP-conjugated goat anti-rabbit secondary antibody (Cat#201, 1:20,000) respectively. Image was developed using FeQ™ ECL Substrate Kit (Cat#226). |
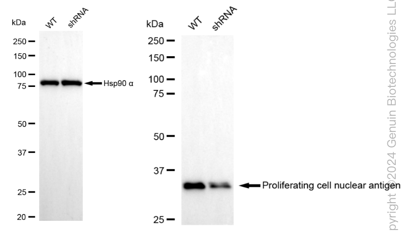
![]() | Western blotting analysis using anti-Proliferating cell nuclear antigen antibody (Cat#62826). Proliferating cell nuclear antigen expression in wild type (WT) and Proliferating cell nuclear antigen shRNA knockdown (KD) HeLa cells with 30 μg of total cell lysates. Hsp90 α serves as a loading control. The blot was incubated with anti-Proliferating cell nuclear antigen antibody (Cat#62826, 1:5,000) and HRP-conjugated goat anti-rabbit secondary antibody (Cat#201, 1:20,000) respectively. Image was developed using FeQ™ ECL Substrate Kit (Cat#226). |
You may also be interested in: