KD-Validated MRPL13 Rabbit pAb (20 μl)

KD-Validated MRPL13 Rabbit pAb (20 μl)

Brand: Abclonal
Cat. #: A24779
Availability: In Stock
$128.00
-+
Reactivity: Human, Mouse, Rat
Applications: WB, IHC, ELISA    
Host Species: Rabbit    
Isotype: IgG    
Clonality: Polyclonal antibody    
Gene Name: mitochondrial ribosomal protein L13
Gene Symbol: MRPL13
Synonyms: MRPL13; L13; L13A; L13mt; RPL13; RPML13; mitochondrial ribosomal protein L13
Gene ID: 28998
UniProt ID: Q9BYD1
Immunogen: A synthetic peptide corresponding to a sequence within amino acids 70-178 of human MRPL13 (NP_054797.2).
Dilution: WB 1:1000-1:5000; IHC 1:50-1:200
Purification Method: Affinity purification
Concentration: 2.04 mg/mL
Buffer: PBS with 0.05% proclin300, 50% glycerol, pH7.3.
Storage: Store at -20°C. Avoid freeze / thaw cycles.
Documents: Manual-MRPL13 polyclonal antibody




Background

Mammalian mitochondrial ribosomal proteins are encoded by nuclear genes and help in protein synthesis within the mitochondrion. Mitochondrial ribosomes (mitoribosomes) consist of a small 28S subunit and a large 39S subunit. They have an estimated 75% protein to rRNA composition compared to prokaryotic ribosomes, where this ratio is reversed. Another difference between mammalian mitoribosomes and prokaryotic ribosomes is that the latter contain a 5S rRNA. Among different species, the proteins comprising the mitoribosome differ greatly in sequence, and sometimes in biochemical properties, which prevents easy recognition by sequence homology. The gene MRPL13 encodes a 39S subunit protein.




Images

MRPL13 rabbit pAbWestern blot analysis of various lysates using [KD Validated] MRPL13 Rabbit pAb (A24779) at 1:2000 dilution.
Secondary antibody: HRP-conjugated Goat anti-Rabbit IgG (H+L) (AS014) at 1:10000 dilution.
Lysates / proteins: 25 μg per lane.
Blocking buffer: 3 % nonfat dry milk in TBST.
Detection: ECL Basic Kit (RM00020).
Exposure time: 60s.
MRPL13 polyclonal antibody Western blot analysis of lysates from wild type (WT) and MRPL13 knockdown (KD) HeLa cells using [KD Validated] MRPL13 Rabbit pAb (A24779) at 1:2000 dilution.
Secondary antibody: HRP-conjugated Goat anti-Rabbit IgG (H+L) (AS014) at 1:10000 dilution.Lysates/proteins: 25 μg per lane.
Blocking buffer: 3% nonfat dry milk in TBST.
Detection: ECL Basic Kit (RM00020).
Exposure time: 60s.
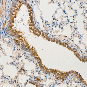
anti-MRPL13 antibody Immunohistochemistry analysis of paraffin-embedded Mouse lung tissue using [KD Validated] MRPL13 Rabbit pAb (A24779) at a dilution of 1:200 (40x lens). High pressure antigen retrieval was performed with 0.01 M citrate buffer (pH 6.0) prior to IHC staining.
Immunohistochemistry analysis of paraffin-embedded Human colon carcinoma tissue using [KD Validated] MRPL13 Rabbit pAb (A24779) at a dilution of 1:200 (40x lens). High pressure antigen retrieval was performed with 0.01 M citrate buffer (pH 6.0) prior to IHC staining.



You may also be interested in:

Related Products


LIFESCT © 2025

Publications

text_heading

Our Location

405 East Gude Dr., Suite 205, Rockville, MD 20850, USA

+1-301-328-1977