| Reactivity: | Human, Mouse, Rat |
| Applications: | WB |
| Host Species: | Rabbit |
| Isotype: | IgG |
| Clonality: | Polyclonal antibody |
| Gene Name: | mitogen-activated protein kinase 14 |
| Gene Symbol: | MAPK14 |
| Synonyms: | RK; p38; CSBP; EXIP; Mxi2; CSBP1; CSBP2; CSPB1; PRKM14; PRKM15; SAPK2A; p38ALPHA |
| Gene ID: | 1432 |
| UniProt ID: | Q16539 |
| Immunogen: | A synthesized peptide derived from human p38 |
| Dilution: | WB 1:500-1:2,500 |
| Purification Method: | Affinity purified |
| Concentration: | Lot dependent |
| Buffer: | PBS with 0.02% sodium azide, 50% glycerol, pH7.3. |
| Storage: | Store at -20°C. Avoid freeze/thaw cycles. |
Background
The protein MAPK14 encoded by this gene is a member of the MAP kinase family. MAP kinases act as an integration point for multiple biochemical signals, and are involved in a wide variety of cellular processes such as proliferation, differentiation, transcription regulation and development. This kinase is activated by various environmental stresses and proinflammatory cytokines. The activation requires its phosphorylation by MAP kinase kinases (MKKs), or its autophosphorylation triggered by the interaction of MAP3K7IP1/TAB1 protein with this kinase. The substrates of this kinase include transcription regulator ATF2, MEF2C, and MAX, cell cycle regulator CDC25B, and tumor suppressor p53, which suggest the roles of this kinase in stress related transcription and cell cycle regulation, as well as in genotoxic stress response. Four alternatively spliced transcript variants of this gene encoding distinct isoforms have been reported.
Images
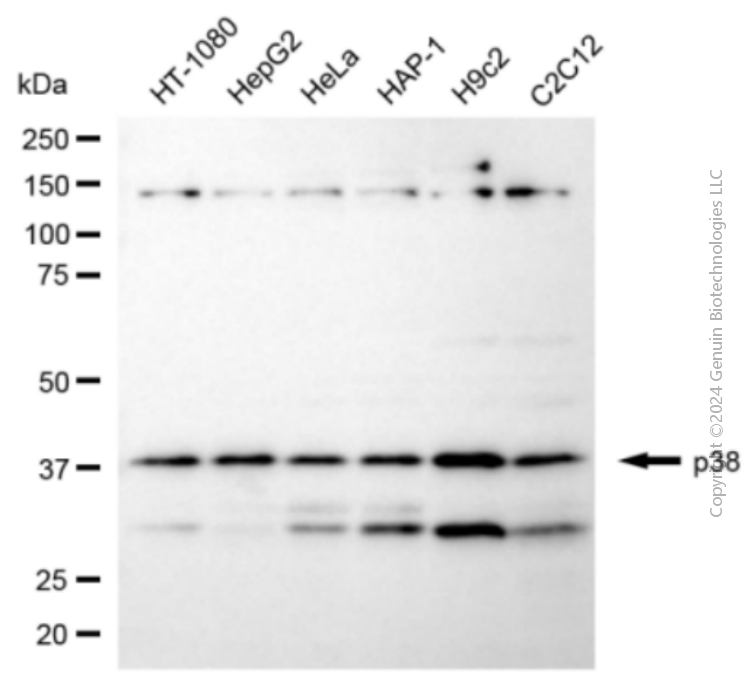
![]() | Western blotting analysis using anti-p38 antibody (Cat#65006). Total cell lysates (30 μg) from various cell lines were loaded and separated by SDS-PAGE. The blot was incubated with anti-p38 antibody (Cat#65006, 1:2,500) and HRP-conjugated goat anti-rabbit secondary antibody (Cat#201, 1:20,000) respectively. Image was developed using NaQ™ ECL Substrate Kit (Cat#716). |
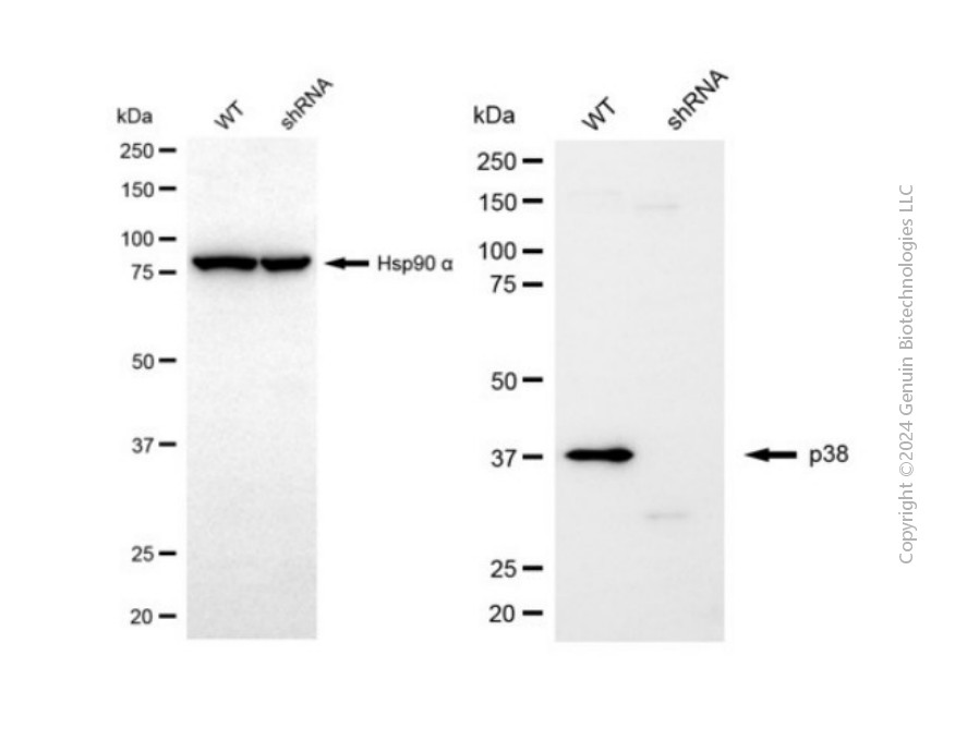
![]() | Western blotting analysis using anti-p38 antibody (Cat#65006). p38 expression in wild-type (WT) and MAPK14 shRNA knockdown (KD) HT-1080 cells with 30 μg of total cell lysates. Hsp90 α serves as a loading control. The blot was incubated with anti-p38 antibody (Cat#65006, 1:2,500) and HRP-conjugated goat anti-rabbit secondary antibody (Cat#201, 1:20,000) respectively. Image was developed using FeQ™ ECL Substrate Kit (Cat#226). |
You may also be interested in: