| Reactivity: | Human, Mouse, Rat |
| Applications: | WB |
| Host Species: | Rabbit |
| Isotype: | IgG |
| Clonality: | Polyclonal antibody |
| Gene Name: | mitogen-activated protein kinase kinase 1 |
| Gene Symbol: | MAP2K1 |
| Synonyms: | MEL; CFC3; MEK1; MKK1; MAPKK1; PRKMK1 |
| Gene ID: | 5604 |
| UniProt ID: | Q02750 |
| Immunogen: | A synthesized peptide derived from human MKK1 |
| Dilution: | WB 1:500-1:2,500 |
| Purification Method: | Affinity purified |
| Concentration: | Lot dependent |
| Buffer: | PBS with 0.01% thimerosal, 50% glycerol, pH7.3. |
| Storage: | Store at -20°C. Avoid freeze/thaw cycles. |
Background
The protein encoded by this gene is a member of the dual specificity protein kinase family, which acts as a mitogen-activated protein (MAP) kinase kinase. MAP kinases, also known as extracellular signal-regulated kinases (ERKs), act as an integration point for multiple biochemical signals. This protein kinase lies upstream of MAP kinases and stimulates the enzymatic activity of MAP kinases upon wide variety of extra- and intracellular signals. As an essential component of MAP kinase signal transduction pathway, this kinase is involved in many cellular processes such as proliferation, differentiation, transcription regulation and development.
Images
![]() | Western blotting analysis using anti-MAP2K1 antibody (Cat#64967). Total cell lysates (30 μg) from various cell lines were loaded and separated by SDS-PAGE. The blot was incubated with anti-MAP2K1 antibody (Cat#64967, 1:2,500) and HRP-conjugated goat anti-rabbit secondary antibody (Cat#201, 1:20,000) respectively. Image was developed using NaQ™ ECL Substrate Kit (Cat#716). |
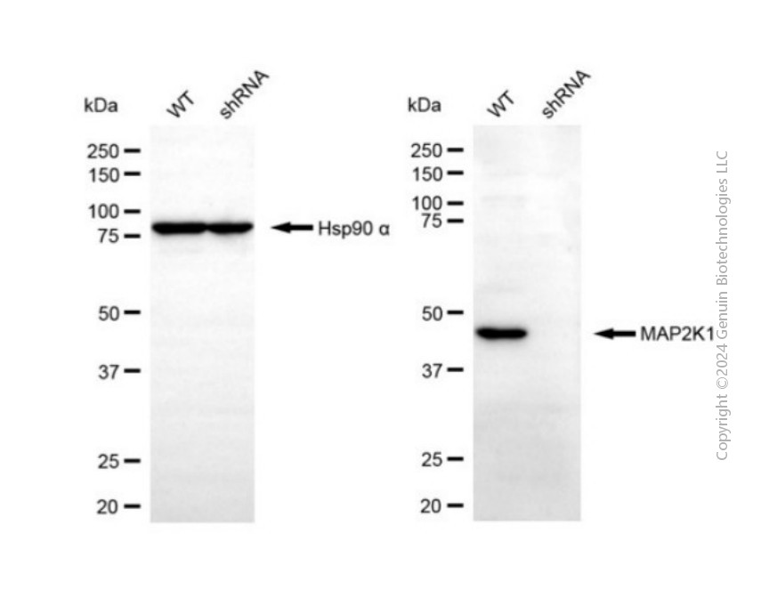
![]() | Western blotting analysis using anti-MAP2K1 antibody (Cat#64967). MAP2K1 expression in wild-type (WT) and MAP2K1 shRNA knockdown (KD) HeLa cells with 20 μg of total cell lysates. Hsp90 α serves as a loading control. The blot was incubated with anti-MAP2K1 antibody (Cat#64967, 1:2,500) and HRP-conjugated goat anti-rabbit secondary antibody (Cat#201, 1:20,000) respectively. Image was developed using FeQ™ ECL Substrate Kit (Cat#226). |
You may also be interested in: