Your shopping cart is empty!
| Reactivity: | Human, Rat |
| Applications: | WB |
| Host Species: | Rabbit |
| Isotype: | IgG |
| Clonality: | Polyclonal antibody |
| Gene Name: | lysosomal associated membrane protein 1 |
| Gene Symbol: | LAMP1 |
| Synonyms: | LAMPA; CD107a; LGP120 |
| Gene ID: | 3916 |
| UniProt ID: | P11279 |
| Immunogen: | A synthesized peptide derived from human CD107a |
| Dilution: | WB 1:2,500-1:5,000 |
| Purification Method: | Affinity purified |
| Concentration: | Lot dependent |
| Buffer: | PBS with 0.09% Sodium azide, 50% glycerol, pH7.3. |
| Storage: | Store at -20°C. Avoid freeze/thaw cycles. |
Background
The protein encoded by this gene is a member of a family of membrane glycoproteins. This glycoprotein provides selectins with carbohydrate ligands. It may also play a role in tumor cell metastasis.
Images
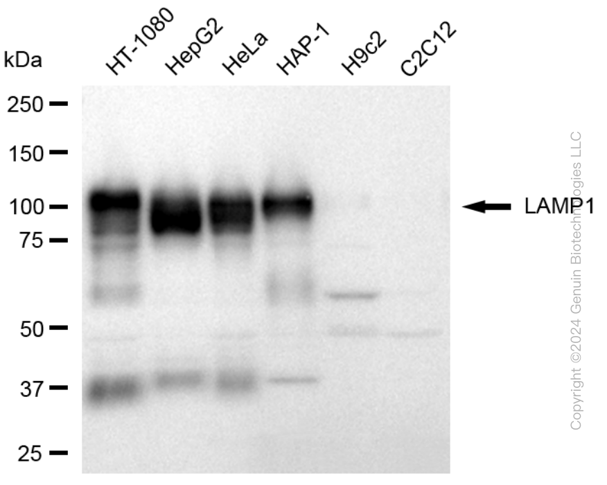
![]() | Western blotting analysis using anti-LAMP1 antibody (Cat#62825). Total cell lysates (30 μg) from various cell lines were loaded and separated by SDS-PAGE. The blot was incubated with anti-LAMP1 antibody (Cat#62825, 1:5,000) and HRP-conjugated goat anti-rabbit secondary antibody (Cat#201, 1:20,000) respectively. Image was developed using FeQ™ ECL Substrate Kit (Cat#226). |
![]() | Western blotting analysis using anti-LAMP1 antibody (Cat#62825). LAMP1 expression in wild type (WT) and LAMP1 shRNA knockdown (KD) HT-1080 cells with 30 μg of total cell lysates. β-Tubulin serves as a loading control. The blot was incubated with anti-LAMP1 antibody (Cat#62825, 1:5,000) and HRP-conjugated goat anti-rabbit secondary antibody (Cat#201, 1:20,000) respectively. Image was developed using FeQ™ ECL Substrate Kit (Cat#226). |
You may also be interested in: