KD-Validated IRF3 Rabbit mAb (20 μl)

KD-Validated IRF3 Rabbit mAb (20 μl)

Cat. #: 61219
Availability: In Stock
$149.00
-+
Reactivity:   Human    
Applications:   WB, FC    
Host Species:   Rabbit    
Isotype:   IgG    
Clonality:   Monoclonal antibody    
Gene Name:   interferon regulatory factor 3
Gene Symbol:   IRF3
Synonyms:   IIAE7
Gene ID:   3661
UniProt ID:   Q14653
Clone ID:   25GB445
Immunogen:   A synthesized peptide derived from human IRF3
Dilution:   WB 1:1,000-1:5,000; FC 1:2,000
Purification Method:   Affinity purified
Concentration:   Lot dependent
Buffer:   PBS with 0.02% sodium azide, 50% glycerol, pH7.3.
Storage:   Store at -20°C. Avoid freeze/thaw cycles.




Background

This gene encodes a member of the interferon regulatory transcription factor (IRF) family. The encoded protein is found in an inactive cytoplasmic form that upon serine/threonine phosphorylation forms a complex with CREBBP. This complex translocates to the nucleus and activates the transcription of interferons alpha and beta, as well as other interferon-induced genes. The protein plays an important role in the innate immune response against DNA and RNA viruses. Mutations in this gene are associated with Encephalopathy, acute, infection-induced, herpes-specific, 7.




Images

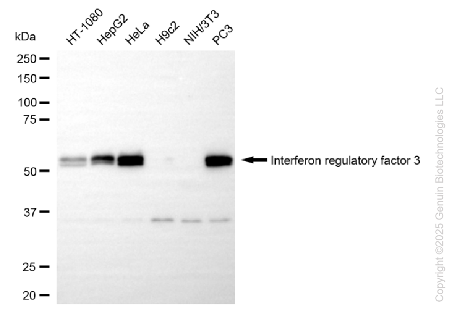
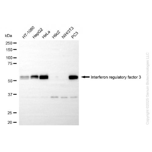
IRF3 antibodyWestern blotting analysis using anti-Interferon regulatory factor 3 antibody (Cat#61219). Total cell lysates (30 μg) from various cell lines were loaded and separated by SDS-PAGE. The blot was incubated with anti-Interferon regulatory factor 3 antibody (Cat#61219, 1:5,000) and HRP-conjugated goat anti-rabbit secondary antibody (Cat#201, 1:20,000) respectively. Image was developed using NaQ™ ECL Substrate Kit (Cat#716).
Western blotting analysis using anti-interferon regulatory factor 3 antibody (Cat#61219). Interferon regulatory factor 3 expression in wild type (WT) and interferon regulatory factor 3 (IRF3) knockdown (KD) HSHC cells with 20 μg of total cell lysates. Hsp90 α serves as a loading control. The blot was incubated with anti-interferon regulatory factor 3 antibody (Cat#61219, 1:5,000) and HRP-conjugated goat anti-rabbit secondary antibody (Cat#201, 1:20,000) respectively. Image was developed using NaQ™ ECL Substrate Kit (Cat#716).
Flow cytometric analysis of Interferon regulatory factor 3 expression in HepG2 cells using anti-Interferon regulatory factor 3 antibody (Cat# 61219, 1:2,000). Green, isotype control; red, Interferon regulatory factor 3.



You may also be interested in:


LIFESCT © 2025

Publications

text_heading

Our Location

405 East Gude Dr., Suite 205, Rockville, MD 20850, USA

+1-301-328-1977