KD-Validated HMMR Rabbit mAb (20 μl)

KD-Validated HMMR Rabbit mAb (20 μl)

Cat. #: 64888
Availability: In Stock
$149.00
-+
Reactivity:   Human    
Applications:   WB, FC    
Host Species:   Rabbit    
Isotype:   IgG    
Clonality:   Monoclonal antibody    
Gene Name:   hyaluronan mediated motility receptor
Gene Symbol:   HMMR
Synonyms:   CD168; IHABP; RHAMM
Gene ID:   3161
UniProt ID:   O75330
Clone ID:   24GB13600
Immunogen:   A synthesized peptide derived from human CD168
Dilution:   WB 1:1,000-1:5,000; FC 1:2,000
Purification Method:   Affinity purified
Concentration:   Lot dependent
Buffer:   PBS with 0.02% sodium azide, 50% glycerol, pH7.3.
Storage:   Store at -20°C. Avoid freeze/thaw cycles.




Background

The protein encoded by this gene is involved in cell motility. It is expressed in breast tissue and together with other proteins, it forms a complex with BRCA1 and BRCA2, thus is potentially associated with higher risk of breast cancer. Alternatively spliced transcript variants encoding different isoforms have been noted for this gene.




Images

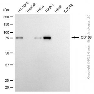
HMMR antibodyWestern blotting analysis using anti-CD168 antibody (Cat#64888). Total cell lysates (30 μg) from various cell lines were loaded and separated by SDS-PAGE. The blot was incubated with anti-CD168 antibody (Cat#64888, 1:5,000) and HRP-conjugated goat anti-rabbit secondary antibody (Cat#201, 1:20,000) respectively. Image was developed using NaQ™ ECL Substrate Kit (Cat#716).
Western blotting analysis using anti-CD168 antibody (Cat#64888). CD168 expression in wild-type (WT) and HMMR knockdown (KD) HSHC cells with 20 μg of total cell lysates. Hsp90 α serves as a loading control. The blot was incubated with anti-CD168 antibody (Cat#64888, 1:5,000) and HRP-conjugated goat anti-rabbit secondary antibody (Cat#201, 1:20,000) respectively. Image was developed using NaQ™ ECL Substrate Kit (Cat#716).
Flow cytometric analysis of CD168 expression in HAP-1 cells using anti-CD168 antibody (Cat#64888, 1:2,000). Green, isotype control; red, CD168.



You may also be interested in:


LIFESCT © 2025

Publications

text_heading

Our Location

405 East Gude Dr., Suite 205, Rockville, MD 20850, USA

+1-301-328-1977