| Reactivity: | Human, Mouse, Rat |
| Applications: | WB, IC |
| Host Species: | Rabbit |
| Isotype: | IgG |
| Clonality: | Monoclonal antibody |
| Gene Name: | H1.0 linker histone |
| Gene Symbol: | H1-0 |
| Synonyms: | H10; H1.0; H1F0; H1FV |
| Gene ID: | 3005 |
| UniProt ID: | P07305 |
| Clone ID: | 23GB1965 |
| Immunogen: | A synthesized peptide derived from human Histone H1.0 |
| Dilution: | WB 1:1,000-1:5,000; IC 1:100-1:1,000 |
| Purification Method: | Affinity purified |
| Concentration: | Lot dependent |
| Buffer: | PBS with 0.09% Sodium azide, 50% glycerol, pH7.3. |
| Storage: | Store at -20°C. Avoid freeze/thaw cycles. |
Background
Histones are basic nuclear proteins that are responsible for the nucleosome structure of the chromosomal fiber in eukaryotes. Nucleosomes consist of approximately 146 bp of DNA wrapped around a histone octamer composed of pairs of each of the four core histones (H2A, H2B, H3, and H4). The chromatin fiber is further compacted through the interaction of a linker histone, H1, with the DNA between the nucleosomes to form higher order chromatin structures. This gene is intronless and encodes a replication-independent histone that is a member of the histone H1 family.
Images
![]() | Western blotting analysis using anti-Histone H1.0 antibody (Cat#61126). Total cell lysates (30 μg) from various cell lines were loaded and separated by SDS-PAGE. The blot was incubated with anti-Histone H1.0 antibody (Cat#61126, 1:5,000) and HRP-conjugated goat anti-rabbit secondary antibody (Cat#201, 1:20,000) respectively. Image was developed using FeQ™ ECL Substrate Kit (Cat#226). |
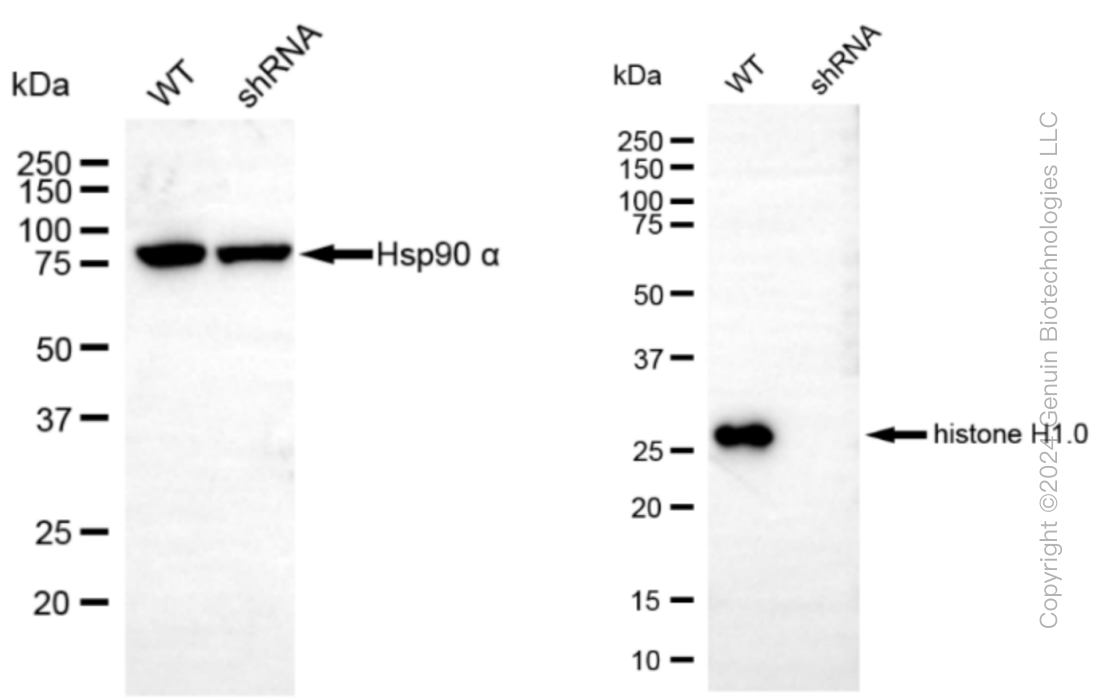
![]() | Western blotting analysis using anti-histone H1.0 antibody (Cat#61126). Histone H1.0 expression in wild-type (WT) and H1-0 shRNA knockdown (KD) HeLa cells with 20 μg of total cell lysates. β-Tubulin serves as a loading control. The blot was incubated with anti-histone H1.0 antibody (Cat#61126, 1:5,000) and HRP-conjugated goat anti-rabbit secondary antibody (Cat#201, 1:20,000) respectively. Image was developed using NaQ™ ECL Substrate Kit (Cat#716). H1-0, H1.0 Linker Histone. |
![]() | Immunocytochemical staining of C2C12 cells with Histone H1.0 antibody (Cat#61126, 1:1,000). Nuclei were stained blue with DAPI; Histone H1.0 was stained magenta with Alexa Fluor® 647. Images were taken using Leica stellaris 5. Protein abundance based on laser Intensity and smart gain: Medium. Scale bar: 20 μm. |
You may also be interested in: