| Reactivity: | Human |
| Applications: | WB |
| Host Species: | Mouse |
| Isotype: | IgG1 |
| Clonality: | Monoclonal antibody |
| Gene Name: | eukaryotic translation initiation factor 2 alpha kinase 2 |
| Gene Symbol: | EIF2AK2 |
| Synonyms: | PKR; PRKR; DYT33; LEUDEN; EIF2AK1; PPP1R83 |
| Gene ID: | 5610 |
| UniProt ID: | P19525 |
| Clone ID: | 24GB5880 |
| Immunogen: | Recombinant protein of human EIF2AK2 |
| Dilution: | WB 1:2,500-1:5,000 |
| Purification Method: | Affinity purified |
| Concentration: | Lot dependent |
| Buffer: | PBS with 0.01% thimerosal, 50% glycerol, pH7.3. |
| Storage: | Store at -20°C. Avoid freeze/thaw cycles. |
Background
The protein encoded by this gene is a serine/threonine protein kinase that is activated by autophosphorylation after binding to dsRNA. The activated form of the encoded protein can phosphorylate translation initiation factor EIF2S1, which in turn inhibits protein synthesis. This protein is also activated by manganese ions and heparin. The encoded protein plays an important role in the innate immune response against multiple DNA and RNA viruses.
Images
![]() | Western blotting analysis using anti-EIF2AK2 antibody (Cat#63491). Total cell lysates (30 μg) from various cell lines were loaded and separated by SDS-PAGE. The blot was incubated with anti-EIF2AK2 antibody (Cat#63491, 1:5,000) and HRP-conjugated goat anti-mouse secondary antibody (Cat#101, 1:20,000) respectively. Image was developed using FeQ™ ECL Substrate Kit (Cat#226). EIF2AK2, eukaryotic translation initiation factor 2 alpha kinase 2. |
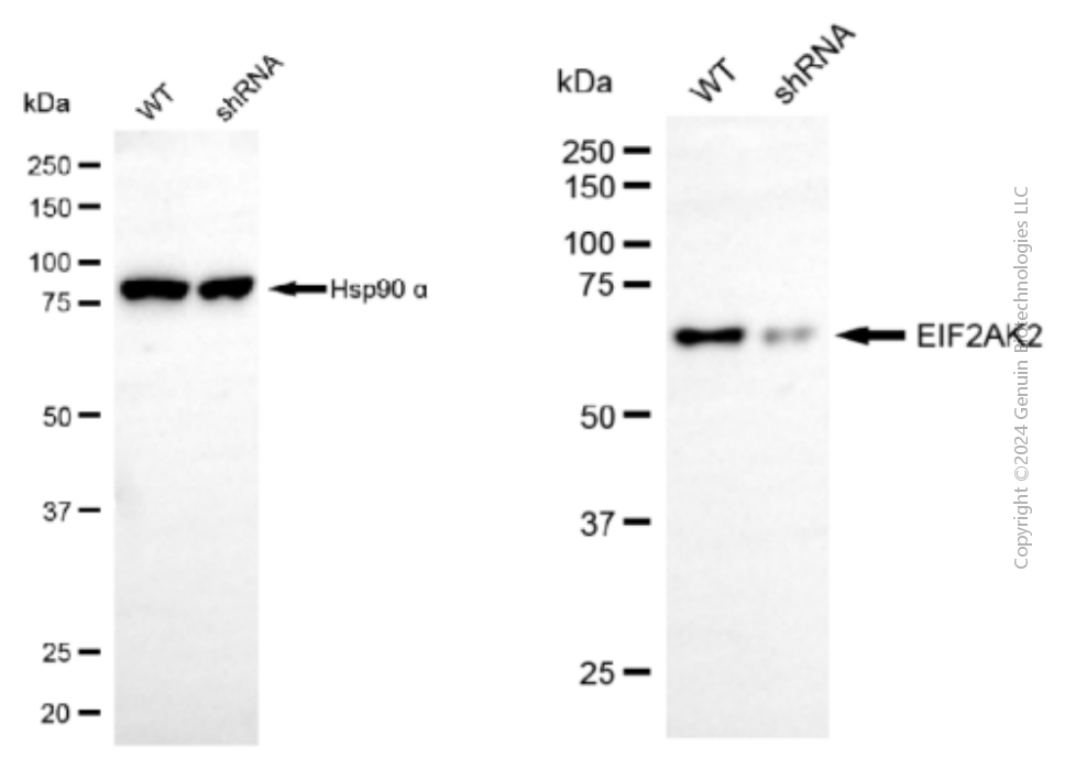
![]() | Western blotting analysis using anti-EIF2AK2 antibody (Cat#63491). EIF2AK2 expression in wild type (WT) and EIF2AK2 shRNA knockdown (KD) HeLa cells with 20 μg of total cell lysates. Hsp90 α serves as a loading control. The blot was incubated with anti-EIF2AK2 antibody (Cat#63491, 1:5,000) and HRP-conjugated goat anti-mouse secondary antibody (Cat#101, 1:20,000) respectively. Image was developed using NaQ™ ECL Substrate Kit (Cat#716). |
You may also be interested in: