KD-Validated DNMT1 Rabbit mAb (20 μl)

KD-Validated DNMT1 Rabbit mAb (20 μl)

Cat. #: 63144
Availability: In Stock
$149.00
-+
Reactivity:   Human, Mouse, Rat    
Applications:   WB, FC, IC    
Host Species:   Rabbit    
Isotype:   IgG    
Clonality:   Monoclonal antibody    
Gene Name:   DNA methyltransferase 1
Gene Symbol:   DNMT1
Synonyms:   AIM; DNMT; MCMT; CXXC9; HSN1E; ADCADN; m.HsaI
Gene ID:   1786
UniProt ID:   P26358
Clone ID:   24GB5135
Immunogen:   A synthesized peptide derived from human Dnmt1
Dilution:   WB 1:1,000-1:5,000; FC 1:2,000; IC 1:100-1:1,000
Purification Method:   Affinity purified
Concentration:   Lot dependent
Buffer:   PBS with 0.02% sodium azide, 50% glycerol, pH7.3.
Storage:   Store at -20°C. Avoid freeze/thaw cycles.




Background

This gene DNMT1 encodes an enzyme that transfers methyl groups to cytosine nucleotides of genomic DNA. This protein is the major enzyme responsible for maintaining methylation patterns following DNA replication and shows a preference for hemi-methylated DNA. Methylation of DNA is an important component of mammalian epigenetic gene regulation. Aberrant methylation patterns are found in human tumors and associated with developmental abnormalities. Variation in this gene has been associated with cerebellar ataxia, deafness, and narcolepsy, and neuropathy, hereditary sensory, type IE. Alternative splicing results in multiple transcript variants. [.




Images

DNMT1 antibodyWestern blotting analysis using anti-DNA methyltransferase 1 antibody (Cat#63144). Total cell lysates (30 μg) from various cell lines were loaded and separated by SDS-PAGE. The blot was incubated with anti-DNA methyltransferase 1 antibody (Cat#63144, 1:5,000) and HRP-conjugated goat anti-rabbit secondary antibody (Cat#201, 1:20,000) respectively. Image was developed using NaQ™ ECL Substrate Kit(Cat#716).
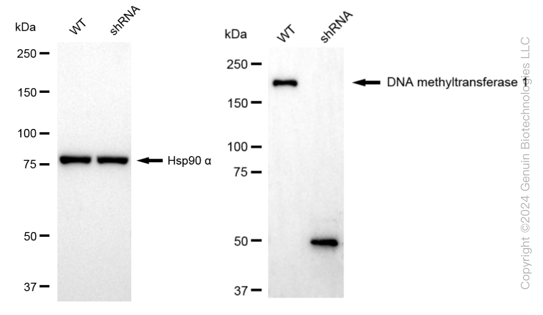
Western blotting analysis using anti-DNA methyltransferase 1 antibody (Cat#63144). DNA methyltransferase 1 expression in wild type (WT) and DNA methyltransferase 1 (DNMT1) shRNA knockdown (KD) HeLa cells with 20 μg of total cell lysates. Hsp90 α serves as a loading control. The blot was incubated with anti-DNA methyltransferase 1 antibody (Cat#63144, 1:5,000) and HRP-conjugated goat anti-rabbit secondary antibody (Cat#201, 1:20,000) respectively. Image was developed using NaQ™ ECL Substrate Kit (Cat#716).
Flow cytometric analysis of DNA methyltransferase 1 expression in HepG2 cells using anti-DNA methyltransferase 1 antibody (Cat#63144, 1:2,000). Green, isotype control; red, DNA methyltransferase 1.
Immunocytochemical staining of HepG2 cells with DNA methyltransferase 1 antibody (Cat#63144, 1:1,000). Nuclei were stained blue with DAPI; DNA methyltransferase 1 was stained magenta with Alexa Fluor® 647. Images were taken using Leica stellaris 5. Protein abundance based on laser Intensity and smart gain: High. Scale bar: 20 μm.



You may also be interested in:


LIFESCT © 2025

Publications

text_heading

Our Location

405 East Gude Dr., Suite 205, Rockville, MD 20850, USA

+1-301-328-1977