KD-Validated DCK Rabbit mAb (20 μl)

KD-Validated DCK Rabbit mAb (20 μl)

Brand: Abclonal
Cat. #: A24071
Availability: In Stock
$148.00
-+
Reactivity: Human, Mouse, Rat
Applications: WB, IHC, ELISA    
Host Species: Rabbit    
Isotype: IgG    
Clonality: Monoclonal antibody    
Gene Name: deoxycytidine kinase
Gene Symbol: DCK
Synonyms: dCK
Gene ID: 1633
UniProt ID: P27707
Clone ID: 5Q7D0
Immunogen: Recombinant fusion protein containing a sequence corresponding to amino acids 1-260 of human DCK (NP_000779.1).
Dilution: WB 1:500-1:1000; IHC 1:100-1:500
Purification Method: Affinity purification
Concentration: 1.88 mg/ml
Buffer: PBS with 0.05% proclin300, 0.05% BSA, 50% glycerol, pH7.3.
Storage: Store at -20°C. Avoid freeze / thaw cycles.
Documents: Manual-DCK monoclonal antibody




Background

Deoxycytidine kinase (DCK) is required for the phosphorylation of several deoxyribonucleosides and their nucleoside analogs. Deficiency of DCK is associated with resistance to antiviral and anticancer chemotherapeutic agents. Conversely, increased deoxycytidine kinase activity is associated with increased activation of these compounds to cytotoxic nucleoside triphosphate derivatives. DCK is clinically important because of its relationship to drug resistance and sensitivity.




Images

DCK rabbit mAbWestern blot analysis of lysates from Daudi cells using [KD Validated] DCK Rabbit mAb (A24071) at 1:1000 dilution.
Secondary antibody: HRP-conjugated Goat anti-Rabbit IgG (H+L) (AS014) at 1:10000 dilution.
Lysates/proteins: 25 μg per lane.
Blocking buffer: 3% nonfat dry milk in TBST.
Detection: ECL Basic Kit (RM00020).
Exposure time:60s.
DCK monoclonal antibodyWestern blot analysis of lysates from wild type (WT) and DCK knockdown (KD) 293F cells using [KD Validated] DCK Rabbit mAb (A24071) at 1:1000 dilution.
Secondary antibody:HRP Goat Anti-Rabbit IgG (H+L)(AS014) at 1:10000 dilution.Lysates/proteins: 25 μg per lane.
Blocking buffer: 3% nonfat dry milk in TBST.
Detection:ECL Basic Kit (RM00020).
Exposuretime: 60s.
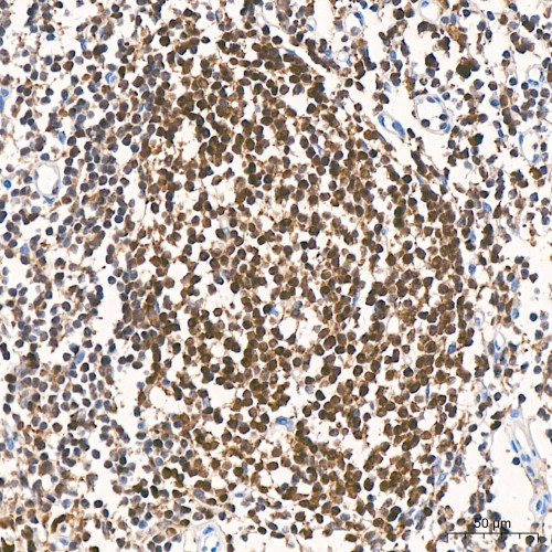
deoxycytidine kinase antibodyImmunohistochemistry analysis of paraffin-embedded Human tonsil tissue using [KD Validated] DCK Rabbit mAb (A24071) at a dilution of 1:300 (40x lens). High pressure antigen retrieval performed with 0.01M Citrate Bufferr (pH 6.0) prior to IHC staining.
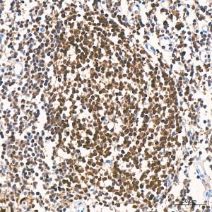
Immunohistochemistry analysis of paraffin-embedded Mouse spleen tissue using [KD Validated] DCK Rabbit mAb (A24071) at a dilution of 1:300 (40x lens). High pressure antigen retrieval performed with 0.01M Citrate Bufferr (pH 6.0) prior to IHC staining.
Immunohistochemistry analysis of paraffin-embedded Rat spleen tissue using [KD Validated] DCK Rabbit mAb (A24071) at a dilution of 1:300 (40x lens). High pressure antigen retrieval performed with 0.01M Citrate Bufferr (pH 6.0) prior to IHC staining.



You may also be interested in:

DCK

Related Products


LIFESCT © 2025

Publications

text_heading

Our Location

405 East Gude Dr., Suite 205, Rockville, MD 20850, USA

+1-301-328-1977