KD-Validated CCNB1 Rabbit mAb (20 μl)

KD-Validated CCNB1 Rabbit mAb (20 μl)

Cat. #: 63159
Availability: In Stock
$149.00
-+
Reactivity:   Human    
Applications:   WB, FC, IC    
Host Species:   Rabbit    
Isotype:   IgG    
Clonality:   Monoclonal antibody    
Gene Name:   cyclin B1
Gene Symbol:   CCNB1
Synonyms:   CCNB
Gene ID:   891
UniProt ID:   P14635
Clone ID:   24GB4300
Immunogen:   A synthesized peptide derived from human Cyclin B1
Dilution:   WB 1:1,000-1:5,000; FC 1:2,000; IC 1:100-1:1,000
Purification Method:   Affinity purified
Concentration:   Lot dependent
Buffer:   PBS with 0.09% Sodium azide, 50% glycerol, pH7.3.
Storage:   Store at -20°C. Avoid freeze/thaw cycles.




Background

The protein CCNB1 encoded by this gene is a regulatory protein involved in mitosis. The gene product complexes with p34(cdc2) to form the maturation-promoting factor (MPF). The encoded protein is necessary for proper control of the G2/M transition phase of the cell cycle.




Images

CCNB1 antibodyWestern blotting analysis using anti-cyclin B1 antibody (Cat#63159). Total cell lysates (30 μg) from various cell lines were loaded and separated by SDS-PAGE. The blot was incubated with anti-cyclin B1 antibody (Cat#63159, 1:5,000) and HRP-conjugated goat anti-rabbit secondary antibody (Cat#201, 1:20,000) respectively. Image was developed using NaQ™ ECL Substrate Kit (Cat#716).
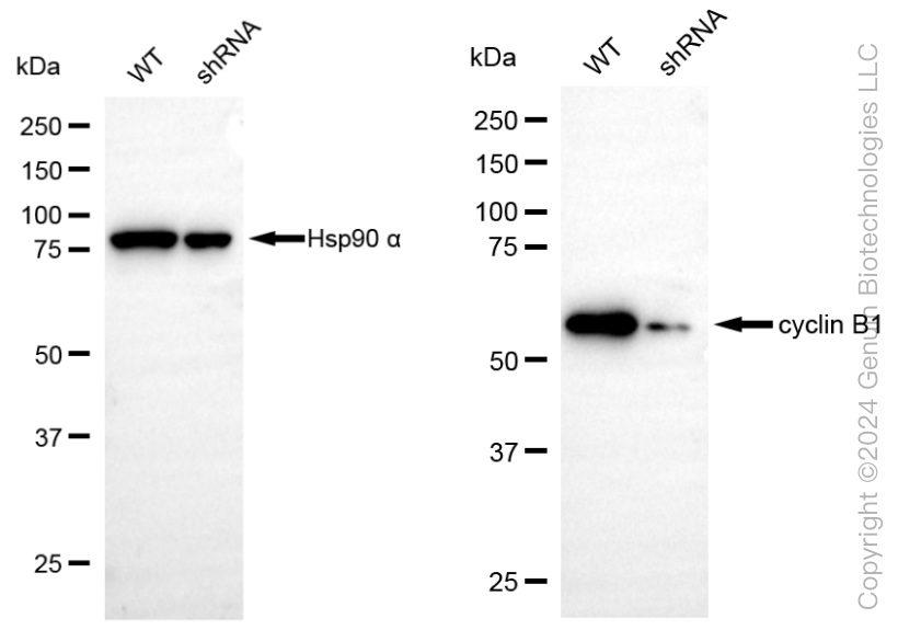
Western blotting analysis using anti-cyclin B1 antibody (Cat#63159). Cyclin B1 expression in wild-type (WT) and cyclin B1 (CCNB1) shRNA knockdown (KD) HT-1080 cells with 20 μg of total cell lysates. Hsp90 α serves as a loading control. The blot was incubated with anti-cyclin B1 antibody (Cat#63159, 1:5,000) and HRP-conjugated goat anti-rabbit secondary antibody (Cat#201, 1:20,000) respectively. Image was developed using NaQ™ ECL Substrate Kit (Cat#716).
Flow cytometric analysis of Cyclin B1 expression in HeLa cells using anti-Cyclin B1 antibody (Cat#63159, 1:2,000). Green, isotype control; red, Cyclin B1.
Immunocytochemical staining of Hela cells with Cyclin B1 antibody (Cat#63159, 1:1,000). Nuclei were stained blue with DAPI;Cyclin B1 was stained magenta with Alexa Fluor® 647. Images were taken using Leica stellaris 5. Protein abundance based on laser Intensity and smart gain: Medium.Scale bar: 20 μm.



You may also be interested in:


LIFESCT © 2025

Publications

text_heading

Our Location

405 East Gude Dr., Suite 205, Rockville, MD 20850, USA

+1-301-328-1977