KD-Validated ACO2 Rabbit mAb (20 μl)

KD-Validated ACO2 Rabbit mAb (20 μl)

Cat. #: 66152
Availability: In Stock
$149.00
-+
Reactivity:   Human, Mouse, Rat    
Applications:   WB, FC, IC    
Host Species:   Rabbit    
Isotype:   IgG    
Clonality:   Monoclonal antibody    
Gene Name:   aconitase 2
Gene Symbol:   ACO2
Synonyms:   ICRD; OCA8; OPA9; ACONM; HEL-S-284
Gene ID:   50
UniProt ID:   Q99798
Clone ID:   23GB1585
Immunogen:   A synthesized peptide derived from human Aconitase 2
Dilution:   WB 1:1,000-1:5,000; FC 1:2,000; IC 1:100-1:1,000
Purification Method:   Affinity purified
Concentration:   Lot dependent
Buffer:   PBS with 0.01% thimerosal, 50% glycerol, pH7.3.
Storage:   Store at -20°C. Avoid freeze/thaw cycles.




Background

The protein encoded by the gene ACO2 belongs to the aconitase/IPM isomerase family. It is an enzyme that catalyzes the interconversion of citrate to isocitrate via cis-aconitate in the second step of the TCA cycle. This protein is encoded in the nucleus and functions in the mitochondrion. It was found to be one of the mitochondrial matrix proteins that are preferentially degraded by the serine protease 15(PRSS15), also known as Lon protease, after oxidative modification.




Images

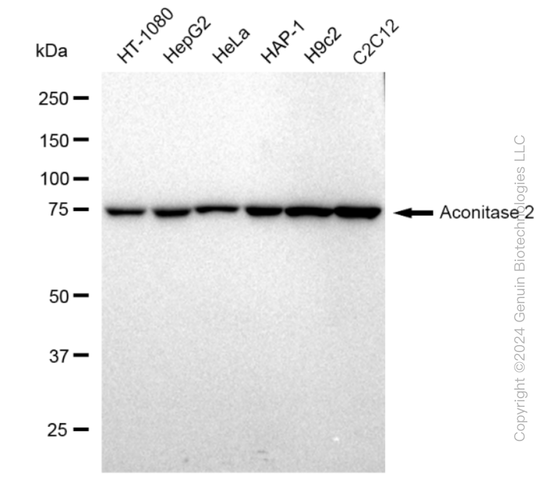
ACO2 antibodyWestern blotting analysis using anti-Aconitase 2 antibody (Cat#66152). Total cell lysates (30 μg) from various cell lines were loaded and separated by SDS-PAGE. The blot was incubated with anti-Aconitase 2 antibody (Cat#66152, 1:5,000) and HRP-conjugated goat anti-rabbit secondary antibody (Cat#201, 1:20,000) respectively. Image was developed using FeQ™ ECL Substrate Kit (Cat#226).
Western blotting analysis using anti-Aconitase 2 antibody (Cat#66152). Aconitase 2 expression in wild type (WT) and Aconitase 2 shRNA knockdown (KD) HeLa cells with 20 μg of total cell lysates. β-Tubulin serves as a loading control. The blot was incubated with anti-Aconitase 2 antibody (Cat#66152, 1:5,000) and HRP-conjugated goat anti-rabbit secondary antibody (Cat#201, 1:20,000) respectively. Image was developed using NaQ™ ECL Substrate Kit (Cat#716).
Flow cytometric analysis of Aconitase 2 expression in HepG2 cells using Aconitase 2 antibody (Cat#66152, 1:2,000). Green, isotype control; red, Aconitase 2.
Immunocytochemical staining of HepG2 cells with anti-Aconitase 2 antibody (Cat#66152, 1:1,000). Nuclei were stained blue with DAPI; Aconitase 2 was stained magenta with Alexa Fluor® 647. Images were taken using Leica stellaris 5. Protein abundance based on laser Intensity and smart gain: Medium. Scale bar: 20 μm.



You may also be interested in:


LIFESCT © 2025

Publications

text_heading

Our Location

405 East Gude Dr., Suite 205, Rockville, MD 20850, USA

+1-301-328-1977