KO-Validated NSD3/WHSC1L1 Rabbit pAb (20 μl)

KO-Validated NSD3/WHSC1L1 Rabbit pAb (20 μl)

Brand: Abclonal
Cat. #: A5577
Availability: In Stock
$128.00
-+
Reactivity: Human, Mouse, Rat
Applications: WB, ELISA    
Host Species: Rabbit    
Isotype: IgG    
Clonality: Polyclonal antibody    
Gene Name: nuclear receptor binding SET domain protein 3
Gene Symbol: NSD3
Synonyms: KMT3F; KMT3G; WHISTLE; WHSC1L1; pp14328; L1
Gene ID: 54904
UniProt ID: Q9BZ95
Immunogen: Recombinant fusion protein containing a sequence corresponding to amino acids 400-600 of human NSD3/NSD3/WHSC1L1 (NP_060248.2).
Dilution: WB 1:500-1:1000
Purification Method: Affinity purification
Concentration: 1.26 mg/ml
Buffer: PBS with 0.09% Sodium azide, 50% glycerol, pH7.3.
Storage: Store at -20°C. Avoid freeze / thaw cycles.
Documents: Manual-NSD3 polyclonal antibody




Background

The gene NSD3 is related to the Wolf-Hirschhorn syndrome candidate-1 gene and encodes a protein with PWWP (proline-tryptophan-tryptophan-proline) domains. This protein methylates histone H3 at lysine residues 4 and 27, which represses gene transcription. Two alternatively spliced variants have been described.




Images

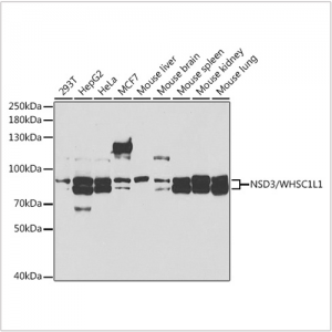
NSD3 rabbit pAbWestern blot analysis of various lysates using [KO Validated] NSD3/WHSC1L1 Rabbit pAb (A5577) at 1:1000 dilution.
Secondary antibody: HRP-conjugated Goat anti-Rabbit IgG (H+L) (AS014) at 1:10000 dilution.
Lysates/proteins: 25μg per lane.
Blocking buffer: 3% nonfat dry milk in TBST.
Detection: ECL Basic Kit (RM00020).
Exposure time: 90s.
Western blot analysis of lysates from wild type (WT) and NSD3/WHSC1L1 knockout (KO) 293T cells, using [KO Validated] NSD3/WHSC1L1 Rabbit pAb (A5577) at 1:1000 dilution.
Secondary antibody: HRP-conjugated Goat anti-Rabbit IgG (H+L) (AS014) at 1:10000 dilution.
Lysates/proteins: 25μg per lane.
Blocking buffer: 3% nonfat dry milk in TBST.
Detection: ECL Basic Kit (RM00020).
Exposure time: 30s.



You may also be interested in:

Related Products


LIFESCT © 2025

Publications

text_heading

Our Location

405 East Gude Dr., Suite 205, Rockville, MD 20850, USA

+1-301-328-1977