| Reactivity: | Human, Mouse, Rat |
| Applications: | WB, ELISA |
| Host Species: | Rabbit |
| Isotype: | IgG |
| Clonality: | Polyclonal antibody |
| Gene Name: | itchy E3 ubiquitin protein ligase |
| Gene Symbol: | ITCH |
| Synonyms: | AIF4; AIP4; ADMFD; NAPP1; CH |
| Gene ID: | 83737 |
| UniProt ID: | Q96J02 |
| Immunogen: | Recombinant fusion protein containing a sequence corresponding to amino acids 1-155 of ITCH (NP_001244066.1). |
| Dilution: | WB 1:500-1:1000 |
| Purification Method: | Affinity purification |
| Concentration: | 0.40 mg/ml |
| Buffer: | PBS with 0.01% thimerosal, 50% glycerol, pH7.3. |
| Storage: | Store at -20°C. Avoid freeze / thaw cycles. |
| Documents: | Manual-ITCH polyclonal antibody |
Background
The gene ITCH encodes a member of the Nedd4 family of HECT domain E3 ubiquitin ligases. HECT domain E3 ubiquitin ligases transfer ubiquitin from E2 ubiquitin-conjugating enzymes to protein substrates, thus targeting specific proteins for lysosomal degradation. The encoded protein plays a role in multiple cellular processes including erythroid and lymphoid cell differentiation and the regulation of immune responses. Mutations in this gene are a cause of syndromic multisystem autoimmune disease. Alternatively spliced transcript variants encoding multiple isoforms have been observed for this gene.
Images
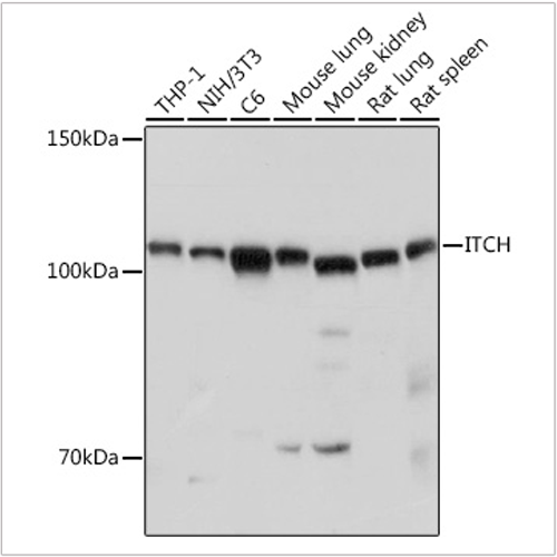
![]() | Western blot analysis of various lysates using [KO Validated] ITCH Rabbit pAb (A15612) at 1:1000 dilution. Secondary antibody: HRP-conjugated Goat anti-Rabbit IgG (H+L) (AS014) at 1:10000 dilution. Lysates/proteins: 25μg per lane. Blocking buffer: 3% nonfat dry milk in TBST. Detection: ECL Basic Kit (RM00020). Exposure time: 10s. |
![]() | Western blot analysis of lysates from wild type (WT) and ITCH knockout (KO) 293T cells, using [KO Validated] ITCH Rabbit pAb (A15612) at 1:1000 dilution. Secondary antibody: HRP-conjugated Goat anti-Rabbit IgG (H+L) (AS014) at 1:10000 dilution. Lysates/proteins: 25μg per lane. Blocking buffer: 3% nonfat dry milk in TBST. Detection: ECL Basic Kit (RM00020). Exposure time: 180s. |
You may also be interested in: