Your shopping cart is empty!
| Reactivity: | Human, Mouse, Rat |
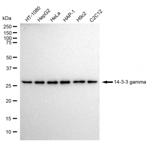
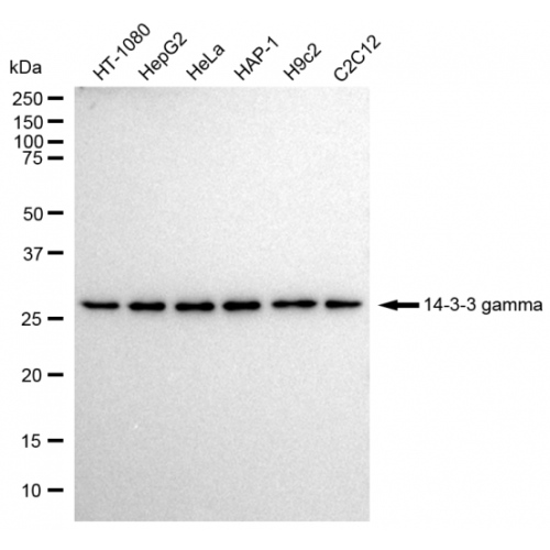
| Applications: | WB, IF/IC, FCM, WB-KD |
| Isotype: | IgG |
| Clone: | 23GB1970 |
| Host Species: | Rabbit |
| Clonality: | Monoclonal |
| Synonyms: | YWHAG; Tyrosine 3-Monooxygenase/Tryptophan 5-Monooxygenase Activation Protein Gamma; 14-3-3GAMMA; PPP1R170; Tyrosine 3-Monooxygenase/Tryptophan 5-Monooxygenase Activation Protein, Gamma Polypeptide; Protein Phosphatase 1, Regulatory Subunit 170; Protein Kinase C Inhibitor Protein 1; 14-3-3 Protein Gamma; KCIP-1; 14-3-3 Gamma; 14-3-3γ; 14-3-3G; EIEE56; DEE56 |
| Immunogen: | A synthesized peptide derived from human 14-3-3 gamma |
| Dilution: | WB 1:1,000-1:5,000; IF/IC 1:1,000; FCM 1:2,000 ; WB-KD 1:1,000-1:5,000 |
| Uniprot: | P61981 |
| NCBI Gene ID: | 7532 |
| MW: | 28 kDa |
| Purification Source: | Cell culture |
| Purification Method: | Affinity Purified |
| Buffer: | Liquid in BSA, PH 7.4, 50% glycerol and less than 0.02% sodium azide. |
| Storage: | Store at -20°C. Avoid repeated freeze/thaw cycles. |
| Documents: | Please contact us to request the manual |