Your shopping cart is empty!
| Reactivity: | Human |
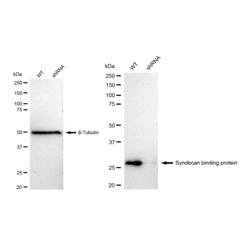
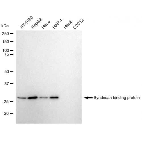
| Applications: | WB, IF/IC, FCM, WB-KD |
| Isotype: | IgG |
| Clone: | 23GB2185 |
| Host Species: | Rabbit |
| Clonality: | Monoclonal |
| Synonyms: | SDCBP; Syndecan Binding Protein; MDA-9; SYCL; Syntenin-1; Pro-TGF-Alpha Cytoplasmic Domain-Interacting Protein 18; Syndecan-Binding Protein 1; Scaffold Protein Pbp1; TACIP18; SDCBP1; MDA9; Melanoma Differentiation Associated Protein-9; Melanoma Differentiation-Associated Protein 9; Syndecan Binding Protein (Syntenin); Syntenin; ST1 |
| Immunogen: | A synthesized peptide derived from human Syntenin |
| Dilution: | WB 1:1,000-1:5,000; IF/IC 1:1,000; FCM 1:2,000 ; WB-KD 1:1,000-1:5,000 |
| Uniprot: | O00560 |
| NCBI Gene ID: | 6386 |
| MW: | 32 kDa |
| Purification Source: | Cell culture |
| Purification Method: | Affinity Purified |
| Buffer: | Liquid in BSA, PH 7.4, 50% glycerol and less than 0.02% sodium azide. |
| Storage: | Store at -20°C. Avoid repeated freeze/thaw cycles. |
| Documents: | Please contact us to request the manual |