Your shopping cart is empty!
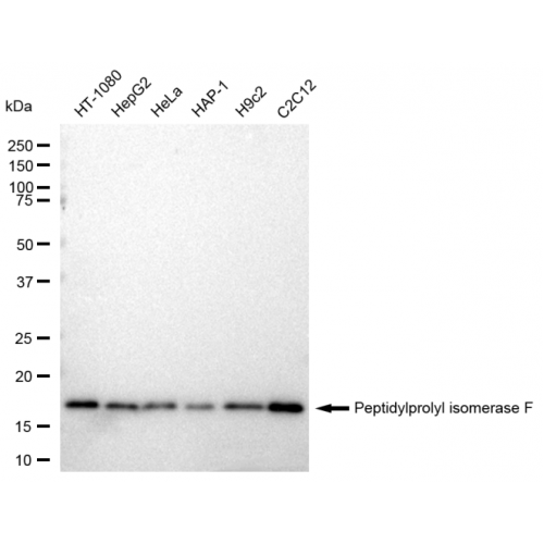
| Reactivity: | Human, Mouse, Rat |
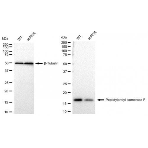
| Applications: | WB, IF/IC, FCM, WB-KD |
| Isotype: | IgG |
| Clone: | 23GB2140 |
| Host Species: | Rabbit |
| Clonality: | Monoclonal |
| Synonyms: | PPIF; Peptidylprolyl Isomerase F; Cyclophilin D; CypD; Peptidyl-Prolyl Cis-Trans Isomerase F, Mitochondrial; Mitochondrial Cyclophilin; Cyclophilin F; Rotamase F; EC 5.2.1.8; PPIase F; Cyp-D; CyP-M; CYP3; Peptidyl-Prolyl Cis-Trans Isomerase, Mitochondrial; Peptidylprolyl Isomerase F (Cyclophilin F; Cyclophilin 3; HCyP3; CYP-D; HCYP3; CyP-D; CYPD |
| Immunogen: | A synthesized peptide derived from human Cyclophilin F |
| Dilution: | WB 1:1,000-1:5,000; IF/IC 1:1,000; FCM 1:2,000 ; WB-KD 1:1,000-1:5,000 |
| Uniprot: | P30405 |
| NCBI Gene ID: | 10105 |
| MW: | 18 kDa |
| Purification Source: | Cell culture |
| Purification Method: | Affinity Purified |
| Buffer: | Liquid in BSA, PH 7.4, 50% glycerol and less than 0.02% sodium azide. |
| Storage: | Store at -20°C. Avoid repeated freeze/thaw cycles. |
| Documents: | Please contact us to request the manual |