KD-Validated LC3B Rabbit pAb (20 μl)

KD-Validated LC3B Rabbit pAb (20 μl)

Brand: Abclonal
Cat. #: A7198
Availability: In Stock
$128.00
-+
Reactivity: Human, Mouse, Rat
Applications: WB, IHC, IF/IC, ELISA    
Host Species: Rabbit    
Isotype: IgG    
Clonality: Polyclonal antibody    
Gene Name: microtubule associated protein 1 light chain 3 beta
Gene Symbol: MAP1LC3B
Synonyms: LC3B; ATG8F; MAP1LC3B-a; MAP1A/1BLC3; 3B
Gene ID: 81631
UniProt ID: Q9GZQ8
Immunogen: A synthetic peptide corresponding to a sequence within amino acids 1-100 of human LC3B (NP_073729.1).
Dilution: WB 1:500-1:1000; IHC 1:50-1:200; IF/IC 1:50-1:200
Purification Method: Affinity purification
Buffer: PBS with 0.09% Sodium azide, 50% glycerol, pH7.3.
Storage: Store at -20°C. Avoid freeze / thaw cycles.
Documents: Manual-MAP1LC3B polyclonal antibody




Background

The product of the gene MAP1LC3B is a subunit of neuronal microtubule-associated MAP1A and MAP1B proteins, which are involved in microtubule assembly and important for neurogenesis. Studies on the rat homolog implicate a role for this gene in autophagy, a process that involves the bulk degradation of cytoplasmic component.




Images

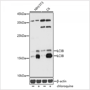
MAP1LC3B rabbit pAbWestern blot analysis of various lysates using [KD Validated] LC3B Rabbit pAb (A7198) at 1:1000 dilution. NIH/3T3 and C6 cells were treated by Chloroquine (50 μM) at 37℃ for 20 hours.
Secondary antibody: HRP-conjugated Goat anti-Rabbit IgG (H+L) (AS014) at 1:10000 dilution.
Lysates/proteins: 25μg per lane.
Blocking buffer: 3% nonfat dry milk in TBST.
Detection: ECL Basic Kit (RM00020).
Exposure time: 1s.
LC3B polyclonal antibodyWestern blot analysis of lysates from wild type (WT) and LC3B knockdown (KD) 293T,293T+chloroquine cells, using [KD Validated] LC3B Rabbit pAb (A7198) at 1:1000 dilution. 293T cells were treated by Chloroquine (50 μM) at 37℃ for 20 hours.
Secondary antibody: HRP-conjugated Goat anti-Rabbit IgG (H+L) (AS014) at 1:10000 dilution.
Lysates/proteins: 25μg per lane.
Blocking buffer: 3% nonfat dry milk in TBST.
Detection: ECL Basic Kit (RM00020).
Exposure time: 10s.
anti-LC3B antibodyImmunohistochemistry analysis of paraffin-embedded Rat brain using [KD Validated] LC3B Rabbit pAb (A7198) at dilution of 1:100 (40x lens). Microwave antigen retrieval performed with 0.01M PBS Buffer (pH 7.2) prior to IHC staining.
MAP1LC3B polyclonal antibodyImmunohistochemistry analysis of paraffin-embedded Human breast cancer using [KD Validated] LC3B Rabbit pAb (A7198) at dilution of 1:100 (40x lens). Microwave antigen retrieval performed with 0.01M PBS Buffer (pH 7.2) prior to IHC staining.
anti-MAP1LC3B antibodyImmunohistochemistry analysis of paraffin-embedded Human stomach using [KD Validated] LC3B Rabbit pAb (A7198) at dilution of 1:100 (40x lens). Microwave antigen retrieval performed with 0.01M PBS Buffer (pH 7.2) prior to IHC staining.
LC3B Rabbit pAbImmunofluorescence analysis of paraffin-embedded rat brain using [KD Validated] LC3B Rabbit pAb (A7198) at dilution of 1:100. Secondary antibody: Cy3-conjugated Goat anti-Rabbit IgG (H+L) (AS007) at 1:500 dilution. Blue: DAPI for nuclear staining.



You may also be interested in:

Related Products


LIFESCT © 2025

Publications

text_heading

Our Location

405 East Gude Dr., Suite 205, Rockville, MD 20850, USA

+1-301-328-1977