Your shopping cart is empty!
| Reactivity: | Human |
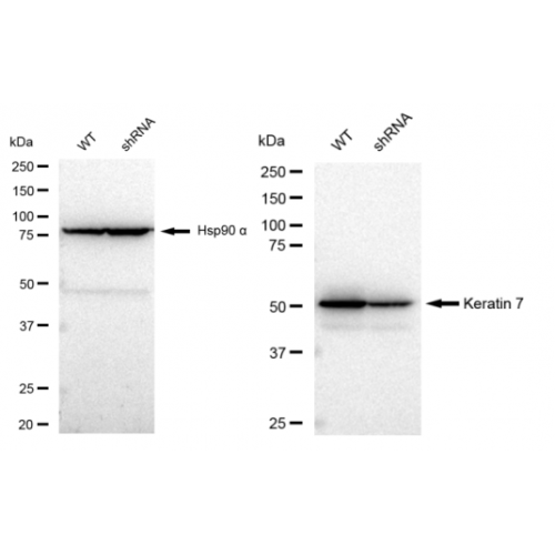
| Applications: | WB, IF/IC, FCM, WB-KD |
| Isotype: | IgG |
| Clone: | 23GB2915 |
| Host Species: | Rabbit |
| Clonality: | Monoclonal |
| Synonyms: | Keratin 7; CK-7; SCL; K7; Keratin, Type II Cytoskeletal 7; Sarcolectin 2; K2C7 2; CK7 2; Keratin, 55K Type II; Cytoskeletal; Type-II Keratin Kb7; Keratin 7, Type II; Cytokeratin 7; Keratin, Simple Epithelial Type I, K7; Type II Mesothelial Keratin K7; Cytokeratin-7; Keratin-7 |
| Immunogen: | A synthesized peptide derived from human Cytokeratin 7 |
| Dilution: | WB 1:1,000-1:5,000; IF/IC 1:1,000; FCM 1:2,000 ; WB-KD 1:1,000-1:5,000 |
| Uniprot: | P08729 |
| NCBI Gene ID: | 3855 |
| MW: | 51 kDa |
| Purification Source: | Cell culture |
| Purification Method: | Affinity Purified |
| Buffer: | Liquid in BSA, PH 7.4, 50% glycerol and less than 0.02% sodium azide. |
| Storage: | Store at -20°C. Avoid repeated freeze/thaw cycles. |
| Documents: | Please contact us to request the manual |