Your shopping cart is empty!
| Reactivity: | Human, Mouse, Rat |
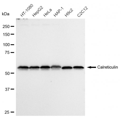
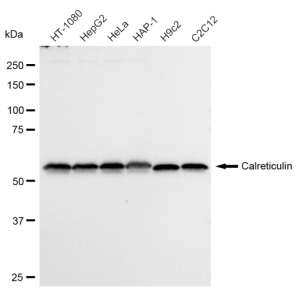
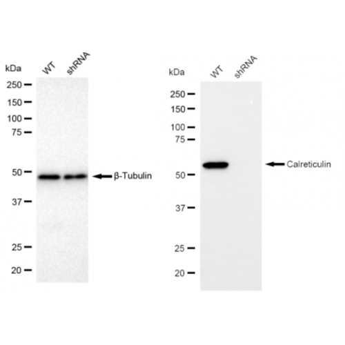
| Applications: | WB, IF/IC, FCM, WB-KD |
| Isotype: | IgG |
| Clone: | 23GB700 |
| Host Species: | Rabbit |
| Clonality: | Monoclonal |
| Synonyms: | Calreticulin; Calregulin; CC1qR; SSA; CRT; RO; Sicca Syndrome Antigen A (Autoantigen Ro; Calreticulin); Endoplasmic Reticulum Resident Protein 60; FLJ26680; CALR1; CRP55; ERp60; HACBP; Grp60; Epididymis Secretory Sperm Binding Protein Li 99n; Autoantigen Ro; HEL-S-99n; CRTC |
| Immunogen: | A synthetic peptide of human calreticulin |
| Dilution: | WB 1:1,000-1:5,000; IF/IC 1:1,000; FCM 1:2,000 ; WB-KD 1:1,000-1:5,000 |
| Uniprot: | P27797 |
| NCBI Gene ID: | 811 |
| MW: | 60 kDa |
| Purification Source: | Cell culture |
| Purification Method: | Affinity Purified |
| Buffer: | Liquid in BSA, PH 7.4, 50% glycerol and less than 0.02% sodium azide. |
| Storage: | Store at -20°C. Avoid repeated freeze/thaw cycles. |
| Documents: | Please contact us to request the manual |