Your shopping cart is empty!
| Reactivity: | Human |
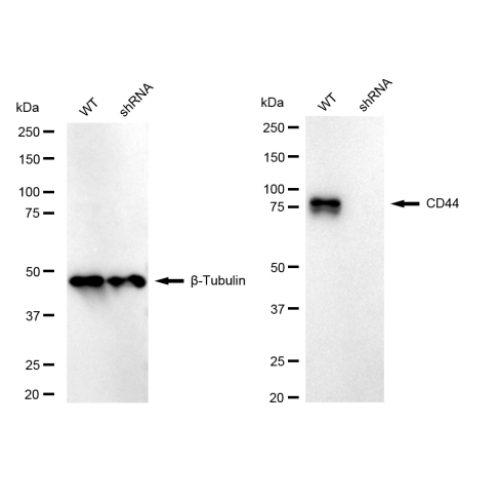
| Applications: | WB, WB-KD |
| Isotype: | IgG |
| Clone: | 23GB3060 |
| Host Species: | Rabbit |
| Clonality: | Monoclonal |
| Synonyms: | CD44 Molecule (Indian Blood Group); HUTCH-I; HCELL; CSPG8; MC56; Pgp1; MDU2; MDU3; MIC4; IN; Hematopoietic Cell E- And L-Selectin Ligand; GP90 Lymphocyte Homing/Adhesion Receptor; Chondroitin Sulfate Proteoglycan 8; Extracellular Matrix Receptor III; Homing Cell Adhesion Molecule; Heparan Sulfate Proteoglycan; Phagocytic Glycoprotein 1; Phagocyte Glycoprotein 1; Hyaluronate Receptor; In(Lu) Related-P80; Hermes Antigen; CD44 Antigen; Hermes-1; ECMR-III; HUTCH-1; ECM-III; Epican; PGP-1; CD44R; CDw44; H-CAM; LHR; CD44 Antigen (Homing Function And Indian Blood Group System); Homing Function And Indian Blood Group System; Extracellular Matrix Receptor-III; Cell Surface Glycoprotein CD44; Indian Blood Group Antigen; Phagocytic Glycoprotein I; Soluble CD44; CDW44; PGP-I |
| Immunogen: | A synthesized peptide derived from human CD44 |
| Dilution: | WB 1:1,000-1:5,000; WB-KD 1:1,000-1:5,000 |
| Uniprot: | P16070 |
| NCBI Gene ID: | 960 |
| MW: | 75 kDa |
| Purification Source: | Cell culture |
| Purification Method: | Affinity Purified |
| Buffer: | Liquid in BSA, PH 7.4, 50% glycerol and less than 0.02% sodium azide. |
| Storage: | Store at -20°C. Avoid repeated freeze/thaw cycles. |
| Documents: | Please contact us to request the manual |