Your shopping cart is empty!
| Reactivity: | Human, Mouse, Rat |
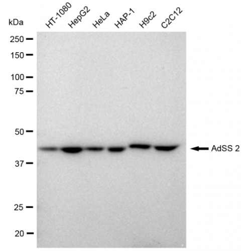
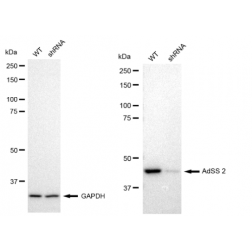
| Applications: | WB, IF/IC, FCM, WB-KD |
| Isotype: | IgG |
| Clone: | 23GB630 |
| Host Species: | Rabbit |
| Clonality: | Monoclonal |
| Synonyms: | Adenylosuccinate Synthase 2; ADSS; Adenylosuccinate Synthetase, Acidic Isozyme; Adenylosuccinate Synthetase, Liver Isozyme; Adenylosuccinate Synthetase Isozyme 2; L-Type Adenylosuccinate Synthetase; IMP--Aspartate Ligase 2; EC 6.3.4.4; AMPSase 2; Adenylosuccinate Synthetase (Ade(-)H-Complementing); Epididymis Secretory Sperm Binding Protein; Adenylosuccinate Synthase; ADSS 2; AdSS 2; ADEH |
| Immunogen: | A synthetic peptide of human ADSS2 |
| Dilution: | WB 1:1,000-1:5,000; IF/IC 1:1,000; FCM 1:2,000 ; WB-KD 1:1,000-1:5,000 |
| Uniprot: | P30520 |
| NCBI Gene ID: | 159 |
| MW: | 45 kDa |
| Purification Source: | Cell culture |
| Purification Method: | Affinity Purified |
| Buffer: | Liquid in BSA, PH 7.4, 50% glycerol and less than 0.02% sodium azide. |
| Storage: | Store at -20°C. Avoid repeated freeze/thaw cycles. |
| Documents: | Please contact us to request the manual |