KD-Validated ACAP2 Rabbit mAb (20 μl)

KD-Validated ACAP2 Rabbit mAb (20 μl)

Cat. #: 61116
Availability: In Stock
$149.00
-+
Reactivity: Human, Mouse, Rat    
Applications: WB, IF/IC, FCM    
Isotype: IgG    
Clone: 23GB1565    
Host Species: Rabbit    
Clonality: Monoclonal antibody    
Gene Name: ArfGAP with coiled-coil, ankyrin repeat and PH domains 2
Gene Symbol: ACAP2
Synonyms: CENTB2; CNT-B2
Immunogen: A synthesized peptide derived from human ACAP2
Dilution: WB 1:1,000-1:5,000; IF/IC 1:1,000; FCM 1:2,000
Uniprot ID: Q15057
Gene ID: 23527
MW: 88 kDa
Purification Source: Cell culture
Purification Method: Affinity Purified
Buffer: Liquid in BSA, PH 7.4, 50% glycerol and less than 0.02% sodium azide.
Storage: Store at -20°C. Avoid repeated freeze/thaw cycles.




Background

The gene ACAP2 enables GTPase activator activity. Acts upstream of or within actin filament-based process. Located in ruffle.




Images

ACAP2 Rabbit mAbWestern blotting analysis using anti-ACAP2 antibody. Total cell lysates(30 y g) from various cell lines were loaded and separated by SDs-PAGE. The blot was incubated with anti-ACAP2 antibody (1:5,000) and HRP-conjugated goat anti-rabbit secondary antibody (1:20,000) respectively.
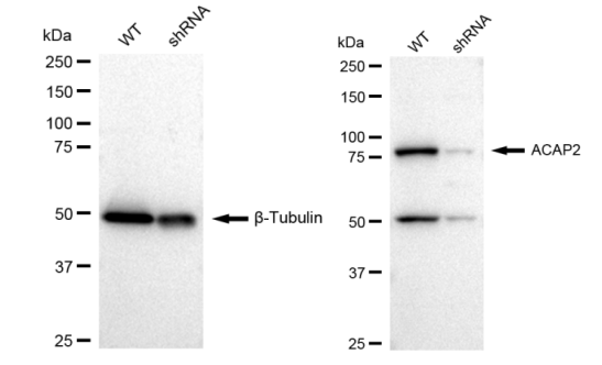
ABCB1 monoclonal antibodyWestern blotting analysis using anti-ACAP2 antibody. ACAP2 expression in wild type (WT) and ACAP2 shRNA knockdown (KD) HeLa cells with 30 ug of total cell lysates. B-Tubulin serves as a loading control. The blot was incubated with anti-ACAP2 antibody (1:5,000) and HRP-conjugated goat anti-rabbit secondary antibody (1:20,000) respectively. .
ABCB1 antibodyFlow cytometric analysis of ACAP2 expression in HT-1080 cells using ACAP2 antibody (1:2,000). Green, isotype control; red, ACAP2.
ACAP2 Rabbit monoclonal antibodyImmunocytochemical staining of HT-1080 cells with ACAP2 antibody (1:1,000). Nuclei were stained blue with DAPI; ACAP2 was stained magenta with Alexa Fluor647. mages were taken using Leica stellaris 5. Protein abundance based on laser Intensity and smart gain: High. Scale bar: 20 um.



You may also be interested in:


LIFESCT © 2025

Publications

text_heading

Our Location

405 East Gude Dr., Suite 205, Rockville, MD 20850, USA

+1-301-328-1977