KO-Validated TFAP4 Rabbit pAb (20 μl)

KO-Validated TFAP4 Rabbit pAb (20 μl)

Brand: Abclonal
Cat. #: A16727
Availability: In Stock
$128.00
-+
Reactivity: Human, Rat
Applications: WB, IF/IC, ELISA    
Host Species: Rabbit    
Isotype: IgG    
Clonality: Polyclonal antibody    
Gene Name: transcription factor AP-4
Gene Symbol: TFAP4
Synonyms: AP-4; bHLHc41; P4
Gene ID: 7023
UniProt ID: Q01664
Immunogen: A synthetic peptide corresponding to a sequence within amino acids 200-338 of human TFAP4 (NP_003214.1).
Dilution: WB 1:200-1:2000; IF/IC 1:50-1:200
Purification Method: Affinity purification
Concentration: 2.6 mg/mL
Buffer: PBS with 0.01% thimerosal, 50% glycerol, pH7.3.
Storage: Store at -20°C. Avoid freeze / thaw cycles.
Documents: Manual-TFAP4 polyclonal antibody




Background

Transcription factors of the basic helix-loop-helix-zipper (bHLH-ZIP) family contain a basic domain, which is used for DNA binding, and HLH and ZIP domains, which are used for oligomerization. Transcription factor AP4 activates both viral and cellular genes by binding to the symmetrical DNA sequence CAGCTG (Mermod et al., 1988 [PubMed 2833704]; Hu et al., 1990 [PubMed 2123466]).




Images

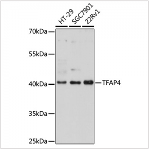
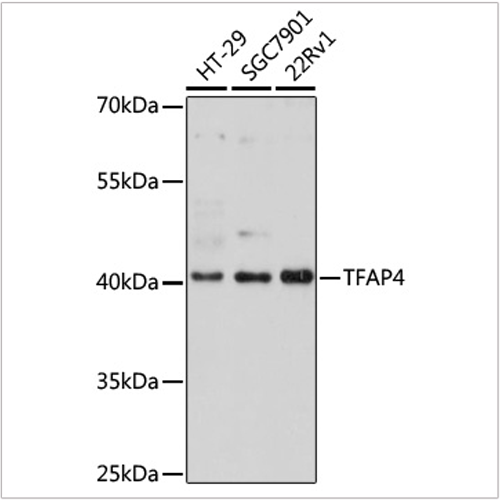
TFAP4 rabbit pAbWestern blot analysis of various lysates using [KO Validated] TFAP4 Rabbit pAb (A16727) at 1:1000 dilution.
Secondary antibody: HRP-conjugated Goat anti-Rabbit IgG (H+L) (AS014) at 1:10000 dilution.
Lysates/proteins: 25μg per lane.
Blocking buffer: 3% nonfat dry milk in TBST.
Detection: ECL Basic Kit (RM00020).
Exposure time: 3min.
Western blot analysis of lysates from wild type (WT) and TFAP4 knockout (KO) HeLa cells, using [KO Validated] TFAP4 Rabbit pAb (A16727) at 1:500 dilution.
Secondary antibody: HRP-conjugated Goat anti-Rabbit IgG (H+L) (AS014) at 1:10000 dilution.
Lysates/proteins: 25μg per lane.
Blocking buffer: 3% nonfat dry milk in TBST.
Detection: ECL Basic Kit (RM00020).
Exposure time: 60S.
Immunofluorescence analysis of C6 cells using [KO Validated] TFAP4 Rabbit pAb (A16727) at dilution of 1:100. Secondary antibody: Cy3-conjugated Goat anti-Rabbit IgG (H+L) (AS007) at 1:500 dilution. Blue: DAPI for nuclear staining.
Immunofluorescence analysis of U-2 OS cells using [KO Validated] TFAP4 Rabbit pAb (A16727) at dilution of 1:100. Secondary antibody: Cy3-conjugated Goat anti-Rabbit IgG (H+L) (AS007) at 1:500 dilution. Blue: DAPI for nuclear staining.



You may also be interested in:


LIFESCT © 2025

Publications

text_heading

Our Location

405 East Gude Dr., Suite 205, Rockville, MD 20850, USA

+1-301-328-1977