KO-Validated SRI Rabbit pAb (20 μl)

KO-Validated SRI Rabbit pAb (20 μl)

Brand: Abclonal
Cat. #: A6751
Availability: In Stock
$128.00
-+
Reactivity: Human, Mouse, Rat
Applications: WB, IHC, ELISA    
Host Species: Rabbit    
Isotype: IgG    
Clonality: Polyclonal antibody    
Gene Name: sorcin
Gene Symbol: SRI
Synonyms: SCN; V19; CP22; CP-22; RI
Gene ID: 6717
UniProt ID: P30626
Immunogen: Recombinant fusion protein containing a sequence corresponding to amino acids 1-198 of human SRI (NP_003121.1).
Dilution: WB 1:500-1:1000; IHC 1:50-1:100
Purification Method: Affinity purification
Concentration: 1.29 mg/ml
Buffer: PBS with 0.02% sodium azide, 50% glycerol ,pH7.3.
Storage: Store at -20°C. Avoid freeze / thaw cycles.
Documents: Manual-SRI polyclonal antibody




Background

This gene encodes a calcium-binding protein with multiple E-F hand domains that relocates from the cytoplasm to the sarcoplasmic reticulum in response to elevated calcium levels. In addition to regulating intracellular calcium homeostasis it also modulates excitation-contraction coupling in the heart. Alternative splicing results in multiple transcript variants encoding distinct proteins. Multiple pseudogenes exist for this gene.




Images

SRI rabbit pAbWestern blot analysis of lysates from wild type(WT) and SRI knockout (KO) HeLa(KO) cells, using [KO Validated] SRI Rabbit pAb (A6751) at 1:1000 dilution.
Secondary antibody: HRP-conjugated Goat anti-Rabbit IgG (H+L) (AS014) at 1:10000 dilution.
Lysates/proteins: 25μg per lane.
Blocking buffer: 3% nonfat dry milk in TBST.
Detection: ECL Basic Kit (RM00020).
Exposure time: 1s.
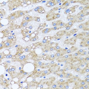
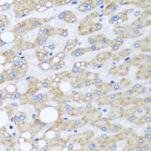
Immunohistochemistry analysis of paraffin-embedded Human liver damage using [KO Validated] SRI Rabbit pAb (A6751) at dilution of 1:100 (40x lens). Microwave antigen retrieval performed with 0.01M PBS Buffer (pH 7.2) prior to IHC staining.
Immunohistochemistry analysis of paraffin-embedded Rat heart using [KO Validated] SRI Rabbit pAb (A6751) at dilution of 1:100 (40x lens). Microwave antigen retrieval performed with 0.01M PBS Buffer (pH 7.2) prior to IHC staining.
Immunohistochemistry analysis of paraffin-embedded Mouse heart using [KO Validated] SRI Rabbit pAb (A6751) at dilution of 1:100 (40x lens). Microwave antigen retrieval performed with 0.01M PBS Buffer (pH 7.2) prior to IHC staining.



You may also be interested in:

SRI

LIFESCT © 2025

Publications

text_heading

Our Location

405 East Gude Dr., Suite 205, Rockville, MD 20850, USA

+1-301-328-1977