KO-Validated SOD2 Rabbit pAb (20 μl)

KO-Validated SOD2 Rabbit pAb (20 μl)

Brand: Abclonal
Cat. #: A1340
Availability: In Stock
$128.00
-+
Reactivity: Human, Mouse, Rat
Applications: WB, IHC, IF/IC, ELISA    
Host Species: Rabbit    
Isotype: IgG    
Clonality: Polyclonal antibody    
Gene Name: superoxide dismutase 2
Gene Symbol: SOD2
Synonyms: GC1; IPOB; IPO-B; MNSOD; MVCD6; GClnc1; Mn-SOD; D2
Gene ID: 6648
UniProt ID: P04179
Immunogen: Recombinant fusion protein containing a sequence corresponding to amino acids 25-222 of human SOD2 (NP_000627.2).
Dilution: WB 1:500-1:2000; IHC 1:50-1:200; IF/IC 1:50-1:200
Purification Method: Affinity purification
Concentration: 1.07 mg/ml
Buffer: PBS with 0.05% proclin300, 50% glycerol, pH7.3.
Storage: Store at -20°C. Avoid freeze / thaw cycles.
Documents: Manual-SOD2 polyclonal antibody




Background

This gene is a member of the iron/manganese superoxide dismutase family. It encodes a mitochondrial protein that forms a homotetramer and binds one manganese ion per subunit. This protein binds to the superoxide byproducts of oxidative phosphorylation and converts them to hydrogen peroxide and diatomic oxygen. Mutations in this gene have been associated with idiopathic cardiomyopathy (IDC), premature aging, sporadic motor neuron disease, and cancer. Alternative splicing of this gene results in multiple transcript variants. A related pseudogene has been identified on chromosome 1.




Images

SOD2 rabbit pAbWestern blot analysis of various lysates using [KO Validated] SOD2 Rabbit pAb (A1340) at 1:1000 dilution.
Secondary antibody: HRP-conjugated Goat anti-Rabbit IgG (H+L) (AS014) at 1:10000 dilution.
Lysates/proteins: 25μg per lane.
Blocking buffer: 3% nonfat dry milk in TBST.
Detection: ECL Basic Kit (RM00020).
Exposure time: 10s.
Western blot analysis of lysates from wild type(WT) and SOD2 knockout (KO) 293T cells, using SOD2 Rabbit pAb (A1340) at 1:1000 dilution.
Secondary antibody: HRP-conjugated Goat anti-Rabbit IgG (H+L) (AS014) at 1:10000 dilution.
Lysates/proteins: 25ug per lane.
Blocking buffer: 3% nonfat dry milk in TBST.
Detection: ECL Basic Kit (RM00020).
Exposure time: 1s.
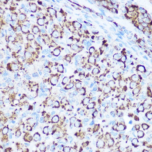
Immunohistochemistry analysis of paraffin-embedded Rat ovary using SOD2 Rabbit pAb (A1340) at dilution of 1:100 (40x lens). Microwave antigen retrieval performed with 0.01M Tris/EDTA Buffer (pH 9.0) prior to IHC staining.
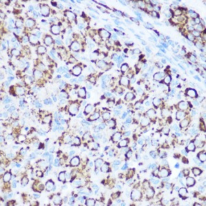
Immunohistochemistry analysis of paraffin-embedded Rat ovary using SOD2 Rabbit pAb (A1340) at dilution of 1:100 (40x lens). Microwave antigen retrieval performed with 0.01M Tris/EDTA Buffer (pH 9.0) prior to IHC staining.
Immunofluorescence analysis of NIH/3T3 cells using [KO Validated] SOD2 Rabbit pAb(A1340) at a dilution of 1:100 (40x lens). Secondary antibody:Cy3 Goat Anti-Rabbit IgG (H+L)(AS007) at 1:500 dilution. Blue: DAPI for nuclear staining.
Immunofluorescence analysis of U-2 OS cells using [KO Validated] SOD2 Rabbit pAb(A1340) at a dilution of 1:100 (40x lens). Secondary antibody:Cy3 Goat Anti-Rabbit IgG (H+L)(AS007) at 1:500 dilution. Blue: DAPI for nuclear staining.



You may also be interested in:


LIFESCT © 2025

Publications

text_heading

Our Location

405 East Gude Dr., Suite 205, Rockville, MD 20850, USA

+1-301-328-1977