| Reactivity: | Human |
| Applications: | WB, IF/IC, IP, ELISA |
| Host Species: | Rabbit |
| Isotype: | IgG |
| Clonality: | Polyclonal antibody |
| Gene Name: | S100 calcium binding protein A11 |
| Gene Symbol: | S100A11 |
| Synonyms: | MLN70; S100C; HEL-S-43; 11 |
| Gene ID: | 6282 |
| UniProt ID: | P31949 |
| Immunogen: | Recombinant fusion protein containing a sequence corresponding to amino acids 1-105 of human S100A11 (NP_005611.1). |
| Dilution: | WB 1:500-1:2000; IF/IC 1:50-1:200 |
| Purification Method: | Affinity purification |
| Concentration: | 1.94 mg/ml |
| Buffer: | PBS with 0.02% sodium azide, 50% glycerol ,pH7.3. |
| Storage: | Store at -20°C. Avoid freeze / thaw cycles. |
| Documents: | Manual-S100A11 polyclonal antibody |
Background
The protein encoded by this gene is a member of the S100 family of proteins containing 2 EF-hand calcium-binding motifs. S100 proteins are localized in the cytoplasm and/or nucleus of a wide range of cells, and involved in the regulation of a number of cellular processes such as cell cycle progression and differentiation. S100 genes include at least 13 members which are located as a cluster on chromosome 1q21. This protein may function in motility, invasion, and tubulin polymerization. Chromosomal rearrangements and altered expression of this gene have been implicated in tumor metastasis.
Images
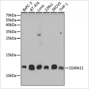
![]() | Western blot analysis of various lysates using [KO Validated] S100A11 Rabbit pAb (A5486) at 1:1000 dilution. Secondary antibody: HRP-conjugated Goat anti-Rabbit IgG (H+L) (AS014) at 1:10000 dilution. Lysates/proteins: 25μg per lane. Blocking buffer: 3% nonfat dry milk in TBST. Detection: ECL Basic Kit (RM00020). Exposure time: 10s. |
![]() | Western blot analysis of lysates from wild type (WT) and S100A11 knockout (KO) HeLa cells, using [KO Validated] S100A11 Rabbit pAb (A5486) at 1:1000 dilution. Secondary antibody: HRP-conjugated Goat anti-Rabbit IgG (H+L) (AS014) at 1:10000 dilution. Lysates/proteins: 25μg per lane. Blocking buffer: 3% nonfat dry milk in TBST. Detection: ECL Basic Kit (RM00020). Exposure time: 10s. |
![]() | Immunofluorescence analysis of U2OS cells using [KO Validated] S100A11 Rabbit pAb (A5486). Secondary antibody: Cy3-conjugated Goat anti-Rabbit IgG (H+L) (AS007) at 1:500 dilution. Blue: DAPI for nuclear staining. |
![]() | Immunoprecipitation analysis of 200 μg extracts of THP-1 cells using 3 μg S100A11 antibody (A5486). Western blot was performed from the immunoprecipitate using S100A11 antibody (A5486) at a dilution of 1:1000. |
You may also be interested in: