KO-Validated ROCK1 Rabbit pAb (20 μl)

KO-Validated ROCK1 Rabbit pAb (20 μl)

Brand: Abclonal
Cat. #: A1008
Availability: In Stock
$128.00
-+
Reactivity: Human, Mouse
Applications: WB, IHC, ELISA    
Host Species: Rabbit    
Isotype: IgG    
Clonality: Polyclonal antibody    
Gene Name: Rho associated coiled-coil containing protein kinase 1
Gene Symbol: ROCK1
Synonyms: ROCK-I; P160ROCK; K1
Gene ID: 6093
UniProt ID: Q13464
Immunogen: Recombinant fusion protein containing a sequence corresponding to amino acids 400-660 of human ROCK1 (NP_005397.1).
Dilution: WB 1:500-1:1000; IHC 1:50-1:100
Purification Method: Affinity purification
Concentration: 1.1 mg/ml
Buffer: PBS with 0.02% sodium azide, 50% glycerol ,pH7.3.
Storage: Store at -20°C. Avoid freeze / thaw cycles.
Documents: Manual-ROCK1 polyclonal antibody




Background

This gene encodes a protein serine/threonine kinase that is activated when bound to the GTP-bound form of Rho. The small GTPase Rho regulates formation of focal adhesions and stress fibers of fibroblasts, as well as adhesion and aggregation of platelets and lymphocytes by shuttling between the inactive GDP-bound form and the active GTP-bound form. Rho is also essential in cytokinesis and plays a role in transcriptional activation by serum response factor. This protein, a downstream effector of Rho, phosphorylates and activates LIM kinase, which in turn, phosphorylates cofilin, inhibiting its actin-depolymerizing activity. A pseudogene, related to this gene, is also located on chromosome 18.




Images

ROCK1 rabbit pAbWestern blot analysis of various lysates, using [KO Validated] ROCK1 Rabbit pAb (A1008) at 1:1000 dilution.
Secondary antibody: HRP-conjugated Goat anti-Rabbit IgG (H+L) (AS014) at 1:10000 dilution.
Lysates/proteins: 25μg per lane.
Blocking buffer: 3% nonfat dry milk in TBST.
Detection: ECL Basic Kit (RM00020).
Exposure time: 10s.
Western blot analysis of lysates from C6 cells, using [KO Validated] ROCK1 Rabbit pAb (A1008) at 1:1000 dilution.
Secondary antibody: HRP-conjugated Goat anti-Rabbit IgG (H+L) (AS014) at 1:10000 dilution.
Lysates/proteins: 25μg per lane.
Blocking buffer: 3% nonfat dry milk in TBST.
Detection: ECL Basic Kit (RM00020).
Exposure time: 30s.
Western blot analysis of lysates from wild type(WT) and ROCK1 knockout (KO) 293T cells, using [KO Validated] ROCK1 Rabbit pAb (A1008) at 1:1000 dilution.
Secondary antibody: HRP-conjugated Goat anti-Rabbit IgG (H+L) (AS014) at 1:10000 dilution.
Lysates/proteins: 25μg per lane.
Blocking buffer: 3% nonfat dry milk in TBST.
Detection: ECL Basic Kit (RM00020).
Exposure time: 10s.
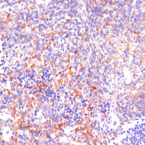
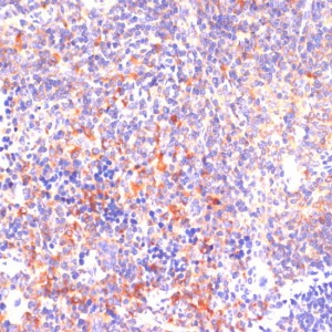
Immunohistochemistry analysis of paraffin-embedded Mouse spleen using [KO Validated] ROCK1 Rabbit pAb (A1008) at dilution of 1:100 (40x lens). Microwave antigen retrieval performed with 0.01M PBS Buffer (pH 7.2) prior to IHC staining.



You may also be interested in:


LIFESCT © 2025

Publications

text_heading

Our Location

405 East Gude Dr., Suite 205, Rockville, MD 20850, USA

+1-301-328-1977