| Reactivity: | Human, Mouse, Rat |
| Applications: | WB, IHC, ELISA |
| Host Species: | Rabbit |
| Isotype: | IgG |
| Clonality: | Polyclonal antibody |
| Gene Name: | RAP1A, member of RAS oncogene family |
| Gene Symbol: | RAP1A |
| Synonyms: | RAP1; C21KG; G-22K; KREV1; KREV-1; SMGP21; 1A |
| Gene ID: | 5906 |
| UniProt ID: | P62834 |
| Immunogen: | A synthetic peptide corresponding to a sequence within amino acids 39-138 of human Rap1A (NP_002875.1). |
| Dilution: | WB 1:500-1:1000; IHC 1:50-1:100 |
| Purification Method: | Affinity purification |
| Concentration: | 1.37 mg/ml |
| Buffer: | PBS with 0.09% Sodium azide, 50% glycerol, pH7.3. |
| Storage: | Store at -20°C. Avoid freeze / thaw cycles. |
| Documents: | Manual-RAP1A polyclonal antibody |
Background
This gene encodes a member of the Ras family of small GTPases. The encoded protein undergoes a change in conformational state and activity, depending on whether it is bound to GTP or GDP. This protein is activated by several types of guanine nucleotide exchange factors (GEFs), and inactivated by two groups of GTPase-activating proteins (GAPs). The activation status of the encoded protein is therefore affected by the balance of intracellular levels of GEFs and GAPs. The encoded protein regulates signaling pathways that affect cell proliferation and adhesion, and may play a role in tumor malignancy. Pseudogenes of this gene have been defined on chromosomes 14 and 17. Alternative splicing results in multiple transcript variants.
Images
![]() | Western blot analysis of various lysates using [KO Validated] Rap1A Rabbit pAb (A0975) at 1:1000 dilution. Secondary antibody: HRP-conjugated Goat anti-Rabbit IgG (H+L) (AS014) at 1:10000 dilution. Lysates/proteins: 25μg per lane. Blocking buffer: 3% nonfat dry milk in TBST. Detection: ECL Basic Kit (RM00020). Exposure time: 90s. |
![]() | Western blot analysis of lysates from wild type(WT) and Rap1A knockdown (KD) 293T cells, using [KO Validated] Rap1A Rabbit pAb (A0975) at 1:1000 dilution. Secondary antibody: HRP-conjugated Goat anti-Rabbit IgG (H+L) (AS014) at 1:10000 dilution. Lysates/proteins: 25μg per lane. Blocking buffer: 3% nonfat dry milk in TBST. Detection: ECL Basic Kit (RM00020). Exposure time: 90s. |
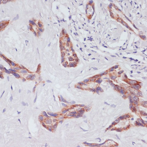
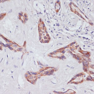
![]() | Immunohistochemistry analysis of paraffin-embedded Human liver cancer using [KO Validated] Rap1A Rabbit pAb (A0975) at dilution of 1:100 (40x lens). Microwave antigen retrieval performed with 0.01M PBS Buffer (pH 7.2) prior to IHC staining. |
![]() | Immunohistochemistry analysis of paraffin-embedded Human colon carcinoma using [KO Validated] Rap1A Rabbit pAb (A0975) at dilution of 1:100 (40x lens). Microwave antigen retrieval performed with 0.01M PBS Buffer (pH 7.2) prior to IHC staining. |
![]() | Immunohistochemistry analysis of paraffin-embedded Mouse spleen using [KO Validated] Rap1A Rabbit pAb (A0975) at dilution of 1:100 (40x lens). Microwave antigen retrieval performed with 0.01M PBS Buffer (pH 7.2) prior to IHC staining. |
You may also be interested in: