KO-Validated PD-1/CD279 Rabbit pAb (20 μl)

KO-Validated PD-1/CD279 Rabbit pAb (20 μl)

Brand: Abclonal
Cat. #: A5584
Availability: In Stock
$128.00
-+
Reactivity: Human, Mouse, Rat
Applications: WB, ELISA    
Host Species: Rabbit    
Isotype: IgG    
Clonality: Polyclonal antibody    
Gene Name: programmed cell death 1
Gene Symbol: PDCD1
Synonyms: PD1; PD-1; CD279; SLEB2; hPD-1; hPD-l; hSLE1; 79
Gene ID: 5133
UniProt ID: Q15116
Immunogen: Recombinant fusion protein containing a sequence corresponding to amino acids 21-170 of human PD-1/CD279 (NP_005009.2).
Dilution: WB 1:100-1:500
Purification Method: Affinity purification
Concentration: 1.93 mg/ml
Buffer: PBS with 0.05% proclin300, 50% glycerol, pH7.3.
Storage: Store at -20°C. Avoid freeze / thaw cycles.
Documents: Manual-PDCD1 polyclonal antibody




Background

Programmed cell death protein 1 (PDCD1) is an immune-inhibitory receptor expressed in activated T cells; it is involved in the regulation of T-cell functions, including those of effector CD8+ T cells. In addition, this protein can also promote the differentiation of CD4+ T cells into T regulatory cells. PDCD1 is expressed in many types of tumors including melanomas, and has demonstrated to play a role in anti-tumor immunity. Moreover, this protein has been shown to be involved in safeguarding against autoimmunity, however, it can also contribute to the inhibition of effective anti-tumor and anti-microbial immunity.




Images

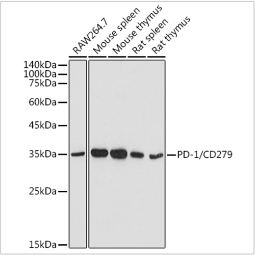
PDCD1 rabbit pAbWestern blot analysis of various lysates using [KO Validated] PD-1/CD279 Rabbit pAb (A5584) at 1:500 dilution.
Secondary antibody: HRP-conjugated Goat anti-Rabbit IgG (H+L) (AS014) at 1:10000 dilution.
Lysates/proteins: 25μg per lane.
Blocking buffer: 3% nonfat dry milk in TBST.
Detection: ECL Basic Kit (RM00020).
Exposure time: 90s.
Western blot analysis of lysates from Raji cells using PD-1/CD279 Rabbit pAb (A5584) at 1:1000 dilution.
Secondary antibody: HRP-conjugated Goat anti-Rabbit IgG (H+L) (AS014) at 1:10000 dilution.
Lysates/proteins: 25 μg per lane.
Blocking buffer: 3% nonfat dry milk in TBST.
Detection: ECL Enhanced Kit (RM00021).
Exposure time: 180s.
Western blot analysis of lysates from wild type (WT) and PD-1/CD279 knockout (KO) 293T cells, using [KO Validated] PD-1/CD279 Rabbit pAb (A5584) at 1:500 dilution.
Secondary antibody: HRP-conjugated Goat anti-Rabbit IgG (H+L) (AS014) at 1:10000 dilution.
Lysates/proteins: 25μg per lane.
Blocking buffer: 3% nonfat dry milk in TBST.
Detection: ECL Basic Kit (RM00020).
Exposure time: 90s.



You may also be interested in:


LIFESCT © 2025

Publications

text_heading

Our Location

405 East Gude Dr., Suite 205, Rockville, MD 20850, USA

+1-301-328-1977