KO-Validated PEPCK/PCK2 Rabbit pAb (20 μl)

KO-Validated PEPCK/PCK2 Rabbit pAb (20 μl)

Brand: Abclonal
Cat. #: A21529
Availability: In Stock
$128.00
-+
Reactivity: Human, Mouse, Rat
Applications: WB, IHC, IF/IC, IP, ELISA    
Host Species: Rabbit    
Isotype: IgG    
Clonality: Polyclonal antibody    
Gene Name: phosphoenolpyruvate carboxykinase 2, mitochondrial
Gene Symbol: PCK2
Synonyms: PEPCK; PEPCK2; PEPCK-M; K2
Gene ID: 5106
UniProt ID: Q16822
Immunogen: Recombinant fusion protein containing a sequence corresponding to amino acids 1-280 of human PEPCK/PCK2 (NP_004554.2).
Dilution: WB 1:500-1:1000; IHC 1:50-1:200; IF/IC 1:50-1:200
Purification Method: Affinity purification
Concentration: 3.14 mg/ml
Buffer: PBS with 0.02% sodium azide, 50% glycerol ,pH7.3.
Storage: Store at -20°C. Avoid freeze / thaw cycles.
Documents: Manual-PCK2 polyclonal antibody




Background

This gene encodes a mitochondrial enzyme that catalyzes the conversion of oxaloacetate to phosphoenolpyruvate in the presence of guanosine triphosphate (GTP). A cytosolic form of this protein is encoded by a different gene and is the key enzyme of gluconeogenesis in the liver. Alternatively spliced transcript variants have been described.




Images

PCK2 rabbit pAbWestern blot analysis of various lysates, using [KO Validated] PEPCK/PCK2 Rabbit pAb (A21529) at 1:1000 dilution.
Secondary antibody: HRP-conjugated Goat anti-Rabbit IgG (H+L) (AS014) at 1:10000 dilution.
Lysates/proteins: 25μg per lane.
Blocking buffer: 3% nonfat dry milk in TBST.
Detection: ECL Basic Kit (RM00020).
Exposure time: 3s.
Western blot analysis of lysates from wild type(WT) and PEPCK/PCK2 Rabbit pAb knockout (KO) 293T cells, using [KO Validated] PEPCK/PCK2 Rabbit pAb (A21529) at 1:1000 dilution.
Secondary antibody: HRP-conjugated Goat anti-Rabbit IgG (H+L) (AS014) at 1:10000 dilution.
Lysates/proteins: 25μg per lane.
Blocking buffer: 3% nonfat dry milk in TBST.
Detection: ECL Basic Kit (RM00020).
Exposure time: 3s.
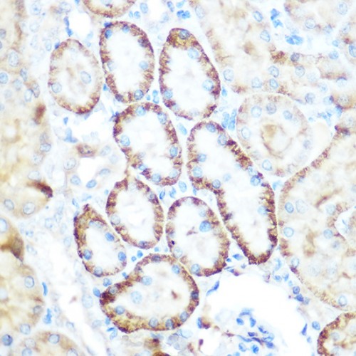
Immunohistochemistry analysis of paraffin-embedded Rat kidney using [KO Validated] PEPCK/PCK2 Rabbit pAb (A21529) at dilution of 1:100 (40x lens). Microwave antigen retrieval performed with 0.01M Tris/EDTA Buffer (pH 9.0) prior to IHC staining.
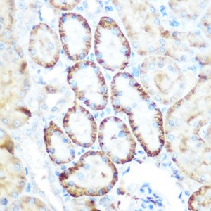
Immunohistochemistry analysis of paraffin-embedded Mouse kidney using [KO Validated] PEPCK/PCK2 Rabbit pAb (A21529) at dilution of 1:100 (40x lens). Microwave antigen retrieval performed with 0.01M Tris/EDTA Buffer (pH 9.0) prior to IHC staining.
Immunofluorescence analysis of NIH-3T3 cells using PEPCK/PEPCK/PCK2 Rabbit pAb (A21529) at dilution of 1:100 (40x lens). Secondary antibody: Cy3-conjugated Goat anti-Rabbit IgG (H+L) (AS007) at 1:500 dilution. Blue: DAPI for nuclear staining.
Immunofluorescence analysis of U-2 OS cells using PEPCK/PEPCK/PCK2 Rabbit pAb (A21529) at dilution of 1:100 (40x lens). Secondary antibody: Cy3-conjugated Goat anti-Rabbit IgG (H+L) (AS007) at 1:500 dilution. Blue: DAPI for nuclear staining.
Immunoprecipitation analysis of extracts of HepG2 cells using PEPCK/PEPCK/PCK2 antibody (A21529). Western blot was performed from the immunoprecipitate using PEPCK/PEPCK/PCK2 antibody (A21529) at a dilution of 1:1000.



You may also be interested in:


LIFESCT © 2025

Publications

text_heading

Our Location

405 East Gude Dr., Suite 205, Rockville, MD 20850, USA

+1-301-328-1977