KO-Validated hnRNP E1/PCBP1 Rabbit pAb (20 μl)

KO-Validated hnRNP E1/PCBP1 Rabbit pAb (20 μl)

Brand: Abclonal
Cat. #: A21733
Availability: In Stock
$128.00
-+
Reactivity: Human, Mouse, Rat
Applications: WB, IHC, ELISA    
Host Species: rabbit    
Isotype: IgG    
Clonality: Polyclonal antibody    
Gene Name: poly(rC) binding protein 1
Gene Symbol: PCBP1
Synonyms: HNRPX; HNRPE1; hnRNP-X; HEL-S-85; hnRNP-E1; P1
Gene ID: 5093
UniProt ID: Q15365
Immunogen: A synthetic peptide corresponding to a sequence within amino acids 100-200 of human hnRNP E1/PCBP1 (NP_006187.2).
Dilution: WB 1:500-1:1000; IHC 1:50-1:200
Purification Method: Affinity purification
Concentration: 1.18 mg/ml
Buffer: PBS with 0.05% proclin300, 50% glycerol, pH7.3.
Storage: Store at -20°C. Avoid freeze / thaw cycles.
Documents: Manual-PCBP1 polyclonal antibody




Background

This intronless gene is thought to have been generated by retrotransposition of a fully processed PCBP-2 mRNA. This gene and PCBP-2 have paralogues (PCBP3 and PCBP4) which are thought to have arisen as a result of duplication events of entire genes. The protein encoded by this gene appears to be multifunctional. It along with PCBP-2 and hnRNPK corresponds to the major cellular poly(rC)-binding protein. It contains three K-homologous (KH) domains which may be involved in RNA binding. This encoded protein together with PCBP-2 also functions as translational coactivators of poliovirus RNA via a sequence-specific interaction with stem-loop IV of the IRES and promote poliovirus RNA replication by binding to its 5'-terminal cloverleaf structure. It has also been implicated in translational control of the 15-lipoxygenase mRNA, human Papillomavirus type 16 L2 mRNA, and hepatitis A virus RNA. The encoded protein is also suggested to play a part in formation of a sequence-specific alpha-globin mRNP complex which is associated with alpha-globin mRNA stability.




Images

PCBP1 rabbit pAbWestern blot analysis of various lysates using [KO Validated] hnRNP E1/PCBP1 Rabbit pAb (A21733) at 1:1000 dilution.
Secondary antibody: HRP-conjugated Goat anti-Rabbit IgG (H+L) (AS014) at 1:10000 dilution.
Lysates/proteins: 25μg per lane.
Blocking buffer: 3% nonfat dry milk in TBST.
Detection: ECL Basic Kit (RM00020).
Exposure time: 30s.
Western blot analysis of lysates from wild type(WT) and hnRNP E1/PCBP1 knockout (KO) HeLa cells, using [KO Validated] hnRNP E1/PCBP1 Rabbit pAb (A21733) at 1:1000 dilution.
Secondary antibody: HRP-conjugated Goat anti-Rabbit IgG (H+L) (AS014) at 1:10000 dilution.
Lysates/proteins: 25μg per lane.
Blocking buffer: 3% nonfat dry milk in TBST.
Detection: ECL Basic Kit (RM00020).
Exposure time: 30s.
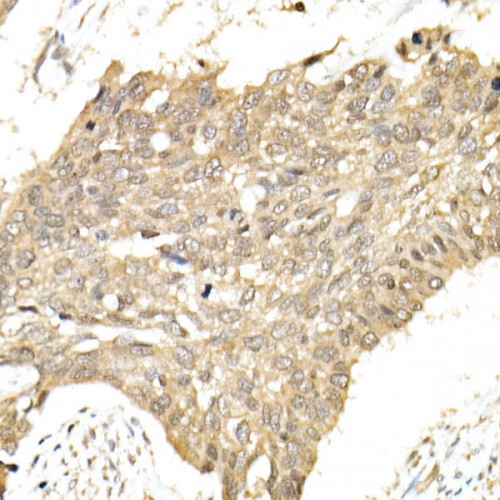
Immunohistochemistry analysis of paraffin-embedded Human esophageal cancer using hnRNP E1/PCBP1 Rabbit pAb (A21733) at dilution of 1:100 (40x lens). High pressure antigen retrieval performed with 0.01M Citrate Bufferr (pH 6.0) prior to IHC staining.
Immunohistochemistry analysis of paraffin-embedded Mouse testis using hnRNP E1/PCBP1 Rabbit pAb (A21733) at dilution of 1:100 (40x lens). High pressure antigen retrieval performed with 0.01M Citrate Bufferr (pH 6.0) prior to IHC staining.
Immunohistochemistry analysis of paraffin-embedded Rat brain using hnRNP E1/PCBP1 Rabbit pAb (A21733) at dilution of 1:100 (40x lens). High pressure antigen retrieval performed with 0.01M Citrate Bufferr (pH 6.0) prior to IHC staining.



You may also be interested in:


LIFESCT © 2025

Publications

text_heading

Our Location

405 East Gude Dr., Suite 205, Rockville, MD 20850, USA

+1-301-328-1977