KO-Validated NBS1/NBN Rabbit pAb (20 μl)

KO-Validated NBS1/NBN Rabbit pAb (20 μl)

Brand: Abclonal
Cat. #: A0783
Availability: In Stock
$128.00
-+
Reactivity: Human, Mouse, Rat
Applications: WB, IHC, ELISA    
Host Species: Rabbit    
Isotype: IgG    
Clonality: Polyclonal antibody    
Gene Name: nibrin
Gene Symbol: NBN
Synonyms: ATV; NBS; P95; NBS1; AT-V1; AT-V2; BN
Gene ID: 4683
UniProt ID: O60934
Immunogen: Recombinant fusion protein containing a sequence corresponding to amino acids 520-754 of human NBS1/NBN (NP_002476.2).
Dilution: WB 1:500-1:1000; IHC 1:50-1:200
Purification Method: Affinity purification
Concentration: 0.89 mg/ml
Buffer: PBS with 0.09% Sodium azide, 50% glycerol, pH7.3.
Storage: Store at -20°C. Avoid freeze / thaw cycles.
Documents: Manual-NBN polyclonal antibody




Background

Mutations in this gene are associated with Nijmegen breakage syndrome, an autosomal recessive chromosomal instability syndrome characterized by microcephaly, growth retardation, immunodeficiency, and cancer predisposition. The encoded protein is a member of the MRE11/RAD50 double-strand break repair complex which consists of 5 proteins. This gene product is thought to be involved in DNA double-strand break repair and DNA damage-induced checkpoint activation.




Images

NBN rabbit pAbWestern blot analysis of lysates from wild type (WT) and NBS1/NBS1/NBN knockout (KO) 293T cells, using [KO Validated] NBS1/NBN Rabbit pAb (A0783) at 1:1000 dilution.
Secondary antibody: HRP-conjugated Goat anti-Rabbit IgG (H+L) (AS014) at 1:10000 dilution.
Lysates/proteins: 25μg per lane.
Blocking buffer: 3% nonfat dry milk in TBST.
Detection: ECL Basic Kit (RM00020).
Exposure time: 90s.
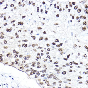
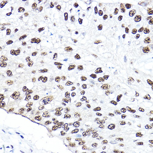
Immunohistochemistry analysis of paraffin-embedded Human lung cancer using [KO Validated] NBS1/NBS1/NBN Rabbit pAb (A0783) at dilution of 1:50 (40x lens). High pressure antigen retrieval performed with 0.01M Citrate Bufferr (pH 6.0) prior to IHC staining.



You may also be interested in:

NBN

LIFESCT © 2025

Publications

text_heading

Our Location

405 East Gude Dr., Suite 205, Rockville, MD 20850, USA

+1-301-328-1977