| Reactivity: | Human, Mouse |
| Applications: | WB, ELISA |
| Host Species: | Rabbit |
| Isotype: | IgG |
| Clonality: | Monoclonal antibody |
| Gene Name: | MYD88 innate immune signal transduction adaptor |
| Gene Symbol: | MYD88 |
| Synonyms: | WM1; IMD68; MYD88D |
| Gene ID: | 4615 |
| UniProt ID: | Q99836 |
| Clone ID: | 0J1O5 |
| Immunogen: | A synthetic peptide corresponding to a sequence within amino acids 50-150 of human MyD88 (NP_002459.3). |
| Dilution: | WB 1:2000-1:9000 |
| Purification Method: | Affinity purification |
| Concentration: | 0.61 mg/mL |
| Buffer: | PBS with 0.05% proclin300, 0.05% BSA, 50% glycerol, pH7.3. |
| Storage: | Store at -20°C. Avoid freeze / thaw cycles. |
| Documents: | Manual-MYD88 monoclonal antibody |
Background
This gene encodes a cytosolic adapter protein that plays a central role in the innate and adaptive immune response. This protein functions as an essential signal transducer in the interleukin-1 and Toll-like receptor signaling pathways. These pathways regulate that activation of numerous proinflammatory genes. The encoded protein consists of an N-terminal death domain and a C-terminal Toll-interleukin1 receptor domain. Patients with defects in this gene have an increased susceptibility to pyogenic bacterial infections. Alternate splicing results in multiple transcript variants.
Images
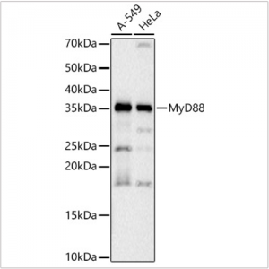
![]() | Western blot analysis of various lysates, using MyD88 Rabbit PolymAb® (A22600PM) at 1:8000 dilution. Secondary antibody: HRP-conjugated Goat anti-Rabbit IgG (H+L) (AS014) at 1:10000 dilution. Lysates/proteins: 25μg per lane. Blocking buffer: 3% nonfat dry milk in TBST. Detection: ECL Basic Kit (RM00020). Exposure time: 30s. |
![]() | Western blot analysis of various lysates, using MyD88 Rabbit PolymAb® (A22600PM) at 1:8000 dilution. Secondary antibody: HRP-conjugated Goat anti-Rabbit IgG (H+L) (AS014) at 1:10000 dilution. Lysates/proteins: 25μg per lane. Blocking buffer: 3% nonfat dry milk in TBST. Detection: ECL Enhanced Kit (RM00021). Exposure time: 60s. |
You may also be interested in: