Your shopping cart is empty!
| Reactivity: | Human, Mouse, Rat |
| Applications: | WB, ELISA |
| Host Species: | Rabbit |
| Isotype: | IgG |
| Clonality: | Polyclonal antibody |
| Gene Name: | N-methylpurine DNA glycosylase |
| Gene Symbol: | MPG |
| Synonyms: | AAG; MDG; ADPG; APNG; Mid1; anpg; PIG11; PIG16; CRA36.1; PG |
| Gene ID: | 4350 |
| UniProt ID: | P29372 |
| Immunogen: | Recombinant fusion protein containing a sequence corresponding to amino acids 1-293 of human MPG (NP_001015052.1). |
| Dilution: | WB 1:500-1:2000 |
| Purification Method: | Affinity purification |
| Concentration: | 0.32 mg/ml |
| Buffer: | PBS with 0.01% thimerosal, 50% glycerol, pH7.3. |
| Storage: | Store at -20°C. Avoid freeze / thaw cycles. |
| Documents: | Manual-MPG polyclonal antibody |
Background
Predicted to enable alkylbase DNA N-glycosylase activity. Predicted to be involved in base-excision repair. Located in cytosol and nucleoplasm.
Images
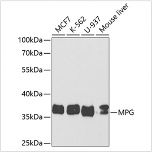
![]() | Western blot analysis of various lysates using MPG Rabbit pAb (A18070) at 1:1000 dilution. Secondary antibody: HRP-conjugated Goat anti-Rabbit IgG (H+L) (AS014) at 1:10000 dilution. Lysates/proteins: 25μg per lane. Blocking buffer: 3% nonfat dry milk in TBST. Detection: ECL Enhanced Kit (RM00021). Exposure time: 40s. |
![]() | Western blot analysis of lysates from wild type (WT) and MPG knockout (KO) HeLa cells, using [KO Validated] MPG Rabbit pAb (A18070) at 1:1000 dilution. Secondary antibody: HRP-conjugated Goat anti-Rabbit IgG (H+L) (AS014) at 1:10000 dilution. Lysates/proteins: 25μg per lane. Blocking buffer: 3% nonfat dry milk in TBST. Detection: ECL Basic Kit (RM00020). Exposure time: 60s. |
You may also be interested in: