KO-Validated p38 MAPK Rabbit mAb (20 μl)

KO-Validated p38 MAPK Rabbit mAb (20 μl)

Brand: Abclonal
Cat. #: A4771
Availability: In Stock
$148.00
-+
Reactivity: Human, Mouse, Rat
Applications: WB, ELISA    
Host Species: Rabbit    
Isotype: IgG    
Clonality: Monoclonal antibody    
Gene Name: mitogen-activated protein kinase 14
Gene Symbol: MAPK14
Synonyms: RK; p38; CSBP; EXIP; Mxi2; CSBP1; CSBP2; CSPB1; PRKM14; PRKM15; SAPK2A; p38ALPHA; PK
Gene ID: 1432
UniProt ID: Q16539
Immunogen: A synthetic peptide corresponding to a sequence within amino acids 100-200 of human p38 MAPK (Q16539).
Dilution: WB 1:1000-1:2000
Purification Method: Affinity purification
Buffer: PBS with 0.02% sodium azide, 0.05% BSA, 50% glycerol, pH7.3.
Storage: Store at -20°C. Avoid freeze / thaw cycles.
Documents: Manual-MAPK14 monoclonal antibody




Background

The protein encoded by this gene is a member of the MAP kinase family. MAP kinases act as an integration point for multiple biochemical signals, and are involved in a wide variety of cellular processes such as proliferation, differentiation, transcription regulation and development. This kinase is activated by various environmental stresses and proinflammatory cytokines. The activation requires its phosphorylation by MAP kinase kinases (MKKs), or its autophosphorylation triggered by the interaction of MAP3K7IP1/TAB1 protein with this kinase. The substrates of this kinase include transcription regulator ATF2, MEF2C, and MAX, cell cycle regulator CDC25B, and tumor suppressor p53, which suggest the roles of this kinase in stress related transcription and cell cycle regulation, as well as in genotoxic stress response. Four alternatively spliced transcript variants of this gene encoding distinct isoforms have been reported.




Images

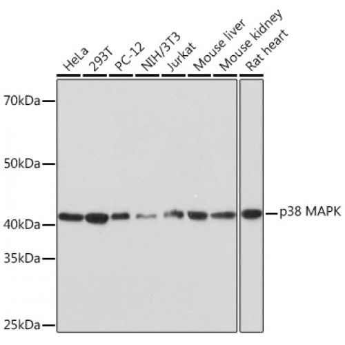
MAPK14 rabbit mAbWestern blot analysis of various lysates using p38 MAPK Rabbit mAb (A4771) at 1:1000 dilution.
Secondary antibody: HRP-conjugated Goat anti-Rabbit IgG (H+L) (AS014) at 1:10000 dilution.
Lysates/proteins: 25μg per lane.
Blocking buffer: 3% nonfat dry milk in TBST.
Detection: ECL Basic Kit (RM00020).
Exposure time: 1min.
Western blot analysis of lysates from wild type(WT) and p38 MAPK knockout (KO) HeLa cells, using [KO Validated] p38 MAPK Rabbit mAb (A4771) at 1:1000 dilution.
Secondary antibody: HRP-conjugated Goat anti-Rabbit IgG (H+L) (AS014) at 1:10000 dilution.
Lysates/proteins: 25μg per lane.
Blocking buffer: 3% nonfat dry milk in TBST.
Detection: ECL Basic Kit (RM00020).
Exposure time: 3s.



You may also be interested in:


LIFESCT © 2025

Publications

text_heading

Our Location

405 East Gude Dr., Suite 205, Rockville, MD 20850, USA

+1-301-328-1977