KO-Validated MEK7 Rabbit pAb (20 μl)

KO-Validated MEK7 Rabbit pAb (20 μl)

Brand: Abclonal
Cat. #: A2186
Availability: In Stock
$128.00
-+
Reactivity: Human, Mouse, Rat
Applications: WB, IF/IC, ELISA    
Host Species: Rabbit    
Isotype: IgG    
Clonality: Polyclonal antibody    
Gene Name: mitogen-activated protein kinase kinase 7
Gene Symbol: MAP2K7
Synonyms: MEK; MKK7; JNKK2; MEK 7; MAPKK7; PRKMK7; SAPKK4; SAPKK-4; K7
Gene ID: 5609
UniProt ID: O14733
Immunogen: Recombinant fusion protein containing a sequence corresponding to amino acids 1-250 of human MEK7 (NP_660186.1).
Dilution: WB 1:500-1:1000; IF/IC 1:50-1:200
Purification Method: Affinity purification
Concentration: 2.27 mg/ml
Buffer: PBS with 0.02% sodium azide, 50% glycerol ,pH7.3.
Storage: Store at -20°C. Avoid freeze / thaw cycles.
Documents: Manual-MAP2K7 polyclonal antibody




Background

The protein encoded by this gene is a dual specificity protein kinase that belongs to the MAP kinase kinase family. This kinase specifically activates MAPK8/JNK1 and MAPK9/JNK2, and this kinase itself is phosphorylated and activated by MAP kinase kinase kinases including MAP3K1/MEKK1, MAP3K2/MEKK2,MAP3K3/MEKK5, and MAP4K2/GCK. This kinase is involved in the signal transduction mediating the cell responses to proinflammatory cytokines, and environmental stresses. Alternative splicing results in multiple transcript variants.




Images

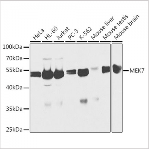
MAP2K7 rabbit pAbWestern blot analysis of various lysates using [KO Validated] MEK7 Rabbit pAb (A2186) at 1:1000 dilution.
Secondary antibody: HRP-conjugated Goat anti-Rabbit IgG (H+L) (AS014) at 1:10000 dilution.
Lysates/proteins: 25μg per lane.
Blocking buffer: 3% nonfat dry milk in TBST.
Western blot analysis of lysates from wild type (WT) and MEK7 knockout (KO) 293T cells, using [KO Validated] MEK7 Rabbit pAb (A2186) at 1:1000 dilution.
Secondary antibody: HRP-conjugated Goat anti-Rabbit IgG (H+L) (AS014) at 1:10000 dilution.
Lysates/proteins: 25μg per lane.
Blocking buffer: 3% nonfat dry milk in TBST.
Detection: ECL Basic Kit (RM00020).
Exposure time: 3s.
Western blot analysis of lysates from Rat skeletal muscle, using MEK7 Rabbit pAb (A2186) at 1:400 dilution.
Secondary antibody: HRP-conjugated Goat anti-Rabbit IgG (H+L) (AS014) at 1:10000 dilution.
Lysates/proteins: 25μg per lane.
Blocking buffer: 3% nonfat dry milk in TBST.
Detection: ECL Basic Kit (RM00020).
Exposure time: 90s.
Immunofluorescence analysis of C6 cells using [KO Validated] MEK7 Rabbit pAb (A2186) at dilution of 1:100. Secondary antibody: Cy3-conjugated Goat anti-Rabbit IgG (H+L) (AS007) at 1:500 dilution. Blue: DAPI for nuclear staining.
Immunofluorescence analysis of L929 cells using [KO Validated] MEK7 Rabbit pAb (A2186) at dilution of 1:100. Secondary antibody: Cy3-conjugated Goat anti-Rabbit IgG (H+L) (AS007) at 1:500 dilution. Blue: DAPI for nuclear staining.
Immunofluorescence analysis of PC-3 cells using MEK7 Rabbit pAb (A2186) at dilution of 1:20 (40x lens). Secondary antibody: Cy3-conjugated Goat anti-Rabbit IgG (H+L) (AS007) at 1:500 dilution. Blue: DAPI for nuclear staining.



You may also be interested in:


LIFESCT © 2025

Publications

text_heading

Our Location

405 East Gude Dr., Suite 205, Rockville, MD 20850, USA

+1-301-328-1977