| Reactivity: | Human, Mouse, Rat |
| Applications: | WB, IHC, ELISA |
| Host Species: | Rabbit |
| Isotype: | IgG |
| Clonality: | Polyclonal antibody |
| Gene Name: | mitogen-activated protein kinase kinase 1 |
| Gene Symbol: | MAP2K1 |
| Synonyms: | MEL; CFC3; MEK1; MKK1; MAPKK1; PRKMK1; K1 |
| Gene ID: | 5604 |
| UniProt ID: | Q02750 |
| Immunogen: | A synthetic peptide corresponding to a sequence within amino acids 1-100 of human MEK1 (NP_002746.1). |
| Dilution: | WB 1:1000-1:3000; IHC 1:50-1:200 |
| Purification Method: | Affinity purification |
| Concentration: | 0.62 mg/ml |
| Buffer: | PBS with 0.01% thimerosal, 50% glycerol, pH7.3. |
| Storage: | Store at -20°C. Avoid freeze / thaw cycles. |
| Documents: | Manual-MAP2K1 polyclonal antibody |
Background
The protein encoded by this gene is a member of the dual specificity protein kinase family, which acts as a mitogen-activated protein (MAP) kinase kinase. MAP kinases, also known as extracellular signal-regulated kinases (ERKs), act as an integration point for multiple biochemical signals. This protein kinase lies upstream of MAP kinases and stimulates the enzymatic activity of MAP kinases upon wide variety of extra- and intracellular signals. As an essential component of MAP kinase signal transduction pathway, this kinase is involved in many cellular processes such as proliferation, differentiation, transcription regulation and development.
Images
![]() | Western blot analysis of various lysates using [KO Validated] MEK1 Rabbit pAb (A12687) at 1:3000 dilution. Secondary antibody: HRP-conjugated Goat anti-Rabbit IgG (H+L) (AS014) at 1:10000 dilution. Lysates/proteins: 25μg per lane. Blocking buffer: 3% nonfat dry milk in TBST. Detection: ECL Enhanced Kit (RM00021). Exposure time: 90s. |
![]() | Western blot analysis of lysates from wild type (WT) and MEK1 knockout (KO) HeLa cells, using [KO Validated] MEK1 Rabbit pAb (A12687) at 1:1000 dilution. Secondary antibody: HRP-conjugated Goat anti-Rabbit IgG (H+L) (AS014) at 1:10000 dilution. Lysates/proteins: 25μg per lane. Blocking buffer: 3% nonfat dry milk in TBST. Detection: ECL Basic Kit (RM00020). Exposure time: 5s. |
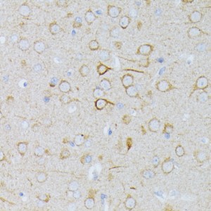
![]() | Immunohistochemistry analysis of paraffin-embedded Rat brain using [KO Validated] MEK1 Rabbit pAb (A12687) at dilution of 1:100 (40x lens). Microwave antigen retrieval performed with 0.01M PBS Buffer (pH 7.2) prior to IHC staining. |
![]() | Immunohistochemistry analysis of paraffin-embedded Mouse kidney using [KO Validated] MEK1 Rabbit pAb (A12687) at dilution of 1:100 (40x lens). Microwave antigen retrieval performed with 0.01M PBS Buffer (pH 7.2) prior to IHC staining. |
You may also be interested in: