KO-Validated M6PR Rabbit pAb (20 μl)

KO-Validated M6PR Rabbit pAb (20 μl)

Brand: Abclonal
Cat. #: A19907
Availability: In Stock
$128.00
-+
Reactivity: Human, Mouse, Rat
Applications: WB, IHC, ELISA    
Host Species: Rabbit    
Isotype: IgG    
Clonality: Polyclonal antibody    
Gene Name: mannose-6-phosphate receptor, cation dependent
Gene Symbol: M6PR
Synonyms: SMPR; MPR46; CD-MPR; MPR 46; MPR-46; CD-M6PR; PR
Gene ID: 4074
UniProt ID: P20645
Immunogen: Recombinant fusion protein containing a sequence corresponding to amino acids 27-185 of human M6PR (NP_002346.1).
Dilution: WB 1:500-1:2000; IHC 1:50-1:200
Purification Method: Affinity purification
Concentration: 0.56 mg/ml
Buffer: PBS with 0.01% thimerosal, 50% glycerol, pH7.3.
Storage: Store at -20°C. Avoid freeze / thaw cycles.
Documents: Manual-M6PR polyclonal antibody




Background

This gene encodes a member of the P-type lectin family. P-type lectins play a critical role in lysosome function through the specific transport of mannose-6-phosphate-containing acid hydrolases from the Golgi complex to lysosomes. The encoded protein functions as a homodimer and requires divalent cations for ligand binding. Alternatively spliced transcript variants encoding multiple isoforms have been observed for this gene. A pseudogene of this gene is located on the long arm of chromosome X.




Images

M6PR rabbit pAbWestern blot analysis of lysates from mouse kidney, using M6PR Rabbit pAb (A19907) at 1:1000 dilution.
Secondary antibody: HRP-conjugated Goat anti-Rabbit IgG (H+L) (AS014) at 1:10000 dilution.
Lysates/proteins: 25μg per lane.
Blocking buffer: 3% nonfat dry milk in TBST.
Detection: ECL Basic Kit (RM00020).
Exposure time: 40s.
Western blot analysis of lysates from wild type (WT) and M6PR knockout (KO) 293T cells, using [KO Validated] M6PR Rabbit pAb (A19907) at 1:500 dilution.
Secondary antibody: HRP-conjugated Goat anti-Rabbit IgG (H+L) (AS014) at 1:10000 dilution.
Lysates/proteins: 25μg per lane.
Blocking buffer: 3% nonfat dry milk in TBST.
Detection: ECL Basic Kit (RM00020).
Exposure time: 1s.
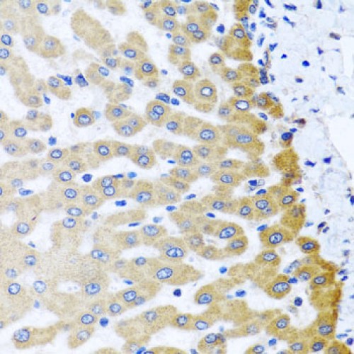
Immunohistochemistry analysis of paraffin-embedded Human liver damage using M6PR Rabbit pAb (A19907) at dilution of 1:100 (40x lens). Microwave antigen retrieval performed with 0.01M PBS Buffer (pH 7.2) prior to IHC staining.
Immunohistochemistry analysis of paraffin-embedded Human stomach using M6PR Rabbit pAb (A19907) at dilution of 1:100 (40x lens). Microwave antigen retrieval performed with 0.01M PBS Buffer (pH 7.2) prior to IHC staining.
Immunohistochemistry analysis of paraffin-embedded Mouse heart using M6PR Rabbit pAb (A19907) at dilution of 1:100 (40x lens). Microwave antigen retrieval performed with 0.01M PBS Buffer (pH 7.2) prior to IHC staining.



You may also be interested in:


LIFESCT © 2025

Publications

text_heading

Our Location

405 East Gude Dr., Suite 205, Rockville, MD 20850, USA

+1-301-328-1977