KO-Validated LAMP2 Rabbit pAb (20 μl)

KO-Validated LAMP2 Rabbit pAb (20 μl)

Brand: Abclonal
Cat. #: A14017
Availability: In Stock
$128.00
-+
Reactivity: Human, Mouse
Applications: WB, IHC, ELISA    
Host Species: Rabbit    
Isotype: IgG    
Clonality: Polyclonal antibody    
Gene Name: Lysosomal associated membrane protein 2
Gene Symbol: LAMP2
Synonyms: DND; LAMPB; CD107b; LAMP-2; LGP-96; LGP110; P2
Gene ID: 3920
UniProt ID: P13473
Immunogen: Recombinant fusion protein containing a sequence corresponding to amino acids 29-375 of human LAMP2 (NP_002285.1).
Dilution: WB 1:500-1:1000; IHC 1:50-1:200
Purification Method: Affinity purification
Concentration: 2.24 mg/ml
Buffer: PBS with 0.05% proclin300, 50% glycerol, pH7.3.
Storage: Store at -20°C. Avoid freeze / thaw cycles.
Documents: Manual-LAMP2 polyclonal antibody




Background

The protein encoded by this gene is a member of a family of membrane glycoproteins. This glycoprotein provides selectins with carbohydrate ligands. It may play a role in tumor cell metastasis. It may also function in the protection, maintenance, and adhesion of the lysosome. Alternative splicing of this gene results in multiple transcript variants encoding distinct proteins.




Images

LAMP2 rabbit pAbWestern blot analysis of various lysates using [KO Validated] LAMP2 Rabbit pAb (A14017) at 1:1000 dilution.
Secondary antibody: HRP-conjugated Goat anti-Rabbit IgG (H+L) (AS014) at 1:10000 dilution.
Lysates/proteins: 25μg per lane.
Blocking buffer: 3% nonfat dry milk in TBST.
Detection: ECL Basic Kit (RM00020).
Exposure time: 1s.
Western blot analysis of lysates from wild type (WT) and LAMP2 knockout (KO) HeLa cells, using [KO Validated] LAMP2 Rabbit pAb (A14017) at 1:1000 dilution.
Secondary antibody: HRP-conjugated Goat anti-Rabbit IgG (H+L) (AS014) at 1:10000 dilution.
Lysates/proteins: 25μg per lane.
Blocking buffer: 3% nonfat dry milk in TBST.
Detection: ECL Basic Kit (RM00020).
Exposure time: 1s.
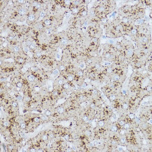
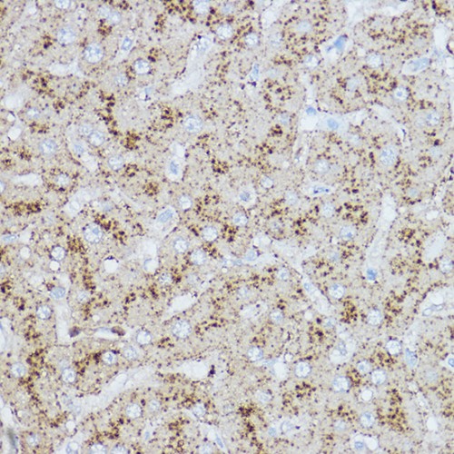
Immunohistochemistry analysis of paraffin-embedded Human liver using LAMP2 Rabbit pAb (A14017) at dilution of 1:200 (40x lens). High pressure antigen retrieval performed with 0.01M Citrate Bufferr (pH 6.0) prior to IHC staining.



You may also be interested in:


LIFESCT © 2025

Publications

text_heading

Our Location

405 East Gude Dr., Suite 205, Rockville, MD 20850, USA

+1-301-328-1977