KO-Validated LAMP2 Rabbit mAb (20 μl)

KO-Validated LAMP2 Rabbit mAb (20 μl)

Brand: Abclonal
Cat. #: A25646
Availability: In Stock
$148.00
-+
Reactivity: Human
Applications: WB, IHC, IF/IC, FC (intra), ELISA    
Host Species: Rabbit    
Isotype: IgG    
Clonality: Monoclonal antibody    
Gene Name: Lysosomal associated membrane protein 2
Gene Symbol: LAMP2
Synonyms: DND; LAMPB; CD107b; LAMP-2; LGP-96; LGP110
Gene ID: 3920
UniProt ID: P13473
Clone ID: 9Y1M6
Immunogen: Recombinant fusion protein containing a sequence corresponding to amino acids 29-375 of human LAMP2 (NP_002285.1).
Dilution: WB 1:20000-1:120000; IHC 1:200-1:2000; IF/IC 1:200-1:800; FC (intra) 1:500-1:1000
Purification Method: Affinity purification
Concentration: 2.29 mg/mL
Buffer: PBS with 0.05% proclin300, 0.05% BSA, 50% glycerol, pH7.3.
Storage: Store at -20°C. Avoid freeze / thaw cycles.
Documents: Manual-LAMP2 monoclonal antibody




Background

The protein encoded by this gene is a member of a family of membrane glycoproteins. This glycoprotein provides selectins with carbohydrate ligands. It may play a role in tumor cell metastasis. It may also function in the protection, maintenance, and adhesion of the lysosome. Alternative splicing of this gene results in multiple transcript variants encoding distinct proteins.




Images

LAMP2 rabbit mAbWestern blot analysis of lysates from A549 cells using [KO Validated] LAMP2 Rabbit mAb (A25646) at 1:20000 dilution.
Secondary antibody: HRP-conjugated Goat anti-Rabbit IgG (H+L) (AS014) at 1:10000 dilution.
Lysates/proteins: 25 μg per lane.
Blocking buffer: 3% nonfat dry milk in TBST.
Detection: ECL Basic Kit (RM00020).
Exposure time:10s.
Western blot analysis of lysates from wild type (WT) and LAMP2 knockout (KO) HeLa cells using [KO Validated] LAMP2 Rabbit mAb (A25646) at 1:20000 dilution.
Secondary antibody: HRP-conjugated Goat anti-Rabbit IgG (H+L) (AS014) at 1:10000 dilution.
Lysates/proteins: 25 μg per lane.
Blocking buffer: 3% nonfat dry milk in TBST.
Detection: ECL Basic Kit (RM00020).
Exposure time: 10s.
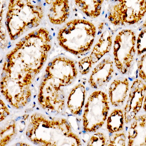
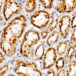
Immunohistochemistry analysis of paraffin-embedded Human kidney tissue using [KO Validated] LAMP2 Rabbit mAb (A25646) at a dilution of 1:200 (40x lens). High pressure antigen retrieval was performed with 0.01 M citrate buffer (pH 6.0) prior to IHC staining.
Confocal imaging of HeLa cells using [KO Validated] LAMP2 Rabbit mAb (A25646, dilution 1:200) followed by a further incubation with Cy3 Goat Anti-Rabbit IgG (H+L) (AS007, dilution 1:500) (Red). The cells were counterstained with α-Tubulin Mouse mAb (AC012, dilution 1:400) followed by incubation with ABflo® 488-conjugated Goat Anti-Mouse IgG (H+L) Ab (AS076, dilution 1:500) (Green). DAPI was used for nuclear staining (Blue). Objective: 100x.
Flow cytometry: 1X10^6 knockout (KO) HeLa cells (negative control,left) and Hela cells (right) were intracellularly-stained with [KO Validated] LAMP2 Rabbit mAb (A25646,2 μg/mL,orange line) or Rabbit IgG isotype control (AC042,2 μg/mL,blue line), followed by Alexa Fluor® 647 conjugated goat anti-rabbit pAb staining. Non-fluorescently stained cells were used as blank control (red line).
Flow cytometry: 1X10^6 knockout (KO) HeLa cells (negative control,left) and Hela cells (right) were intracellularly-stained with Rabbit IgG isotype control (AC042,2 μg/mL,left) or [KO Validated] LAMP2 Rabbit mAb (A25646,2 μg/mL,right), followed by Alexa Fluor® 647 conjugated goat anti-Rabbit pAb staining.



You may also be interested in:


LIFESCT © 2025

Publications

text_heading

Our Location

405 East Gude Dr., Suite 205, Rockville, MD 20850, USA

+1-301-328-1977