KO-Validated Integrin alpha 2 (ITGA2/CD49b) Rabbit pAb (20 μl)

KO-Validated Integrin alpha 2 (ITGA2/CD49b) Rabbit pAb (20 μl)

Brand: Abclonal
Cat. #: A7629
Availability: In Stock
$128.00
-+
Reactivity: Human, Mouse, Rat
Applications: WB, IHC, IF/IC, ELISA    
Host Species: Rabbit    
Isotype: IgG    
Clonality: Polyclonal antibody    
Gene Name: integrin subunit alpha 2
Gene Symbol: ITGA2
Synonyms: BR; GPIa; CD49B; HPA-5; VLA-2; VLAA2; b)
Gene ID: 3673
UniProt ID: P17301
Immunogen: A synthetic peptide corresponding to a sequence within amino acids 30-162 of human Integrin alpha 2 (ITGA2/CD49b) (NP_002194.2).
Dilution: WB 1:500-1:1000; IHC 1:50-1:200; IF/IC 1:50-1:200
Purification Method: Affinity purification
Concentration: 0.48 mg/ml
Buffer: PBS with 0.02% sodium azide, 50% glycerol ,pH7.3.
Storage: Store at -20°C. Avoid freeze / thaw cycles.
Documents: Manual-ITGA2 polyclonal antibody




Background

This gene encodes the alpha subunit of a transmembrane receptor for collagens and related proteins. The encoded protein forms a heterodimer with a beta subunit and mediates the adhesion of platelets and other cell types to the extracellular matrix. Loss of the encoded protein is associated with bleeding disorder platelet-type 9. Antibodies against this protein are found in several immune disorders, including neonatal alloimmune thrombocytopenia. This gene is located adjacent to a related alpha subunit gene. Alternative splicing results in multiple transcript variants.




Images

ITGA2 rabbit pAbWestern blot analysis of various lysates using [KO Validated] Integrin alpha 2 (ITGA2/CD49b) Rabbit pAb (A7629) at 1:1000 dilution.
Secondary antibody: HRP-conjugated Goat anti-Rabbit IgG (H+L) (AS014) at 1:10000 dilution.
Lysates/proteins: 25μg per lane.
Blocking buffer: 3% nonfat dry milk in TBST.
Detection: ECL Basic Kit (RM00020).
Exposure time: 90s.
Western blot analysis of lysates from wild type (WT) and Integrin alpha 2 (ITGA2/CD49b) knockout (KO) 293T cells, using [KO Validated] Integrin alpha 2 (ITGA2/CD49b) Rabbit pAb (A7629) at 1:1000 dilution.
Secondary antibody: HRP-conjugated Goat anti-Rabbit IgG (H+L) (AS014) at 1:10000 dilution.
Lysates/proteins: 25μg per lane.
Blocking buffer: 3% nonfat dry milk in TBST.
Detection: ECL Basic Kit (RM00020).
Exposure time: 90s.
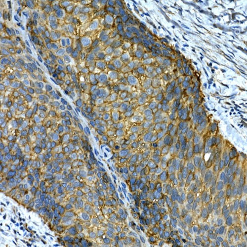
Immunohistochemistry analysis of paraffin-embedded Human lung cancer using [KO Validated] Integrin alpha 2 (ITGA2/CD49b) Rabbit pAb (A7629) at dilution of 1:50 (40x lens). High pressure antigen retrieval performed with 0.01M Citrate Bufferr (pH 6.0) prior to IHC staining.
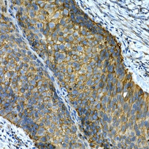
Immunohistochemistry analysis of paraffin-embedded Human placenta using [KO Validated] Integrin alpha 2 (ITGA2/CD49b) Rabbit pAb (A7629) at dilution of 1:50 (40x lens). High pressure antigen retrieval performed with 0.01M Citrate Bufferr (pH 6.0) prior to IHC staining.
Immunohistochemistry analysis of paraffin-embedded Human tonsil using [KO Validated] Integrin alpha 2 (ITGA2/CD49b) Rabbit pAb (A7629) at dilution of 1:50 (40x lens). High pressure antigen retrieval performed with 0.01M Citrate Bufferr (pH 6.0) prior to IHC staining.
Immunofluorescence analysis of U2OS cells using [KO Validated] Integrin alpha 2 (ITGA2/CD49b) Rabbit pAb (A7629) at dilution of 1:100. Secondary antibody: Cy3-conjugated Goat anti-Rabbit IgG (H+L) (AS007) at 1:500 dilution. Blue: DAPI for nuclear staining.



You may also be interested in:


LIFESCT © 2025

Publications

text_heading

Our Location

405 East Gude Dr., Suite 205, Rockville, MD 20850, USA

+1-301-328-1977